
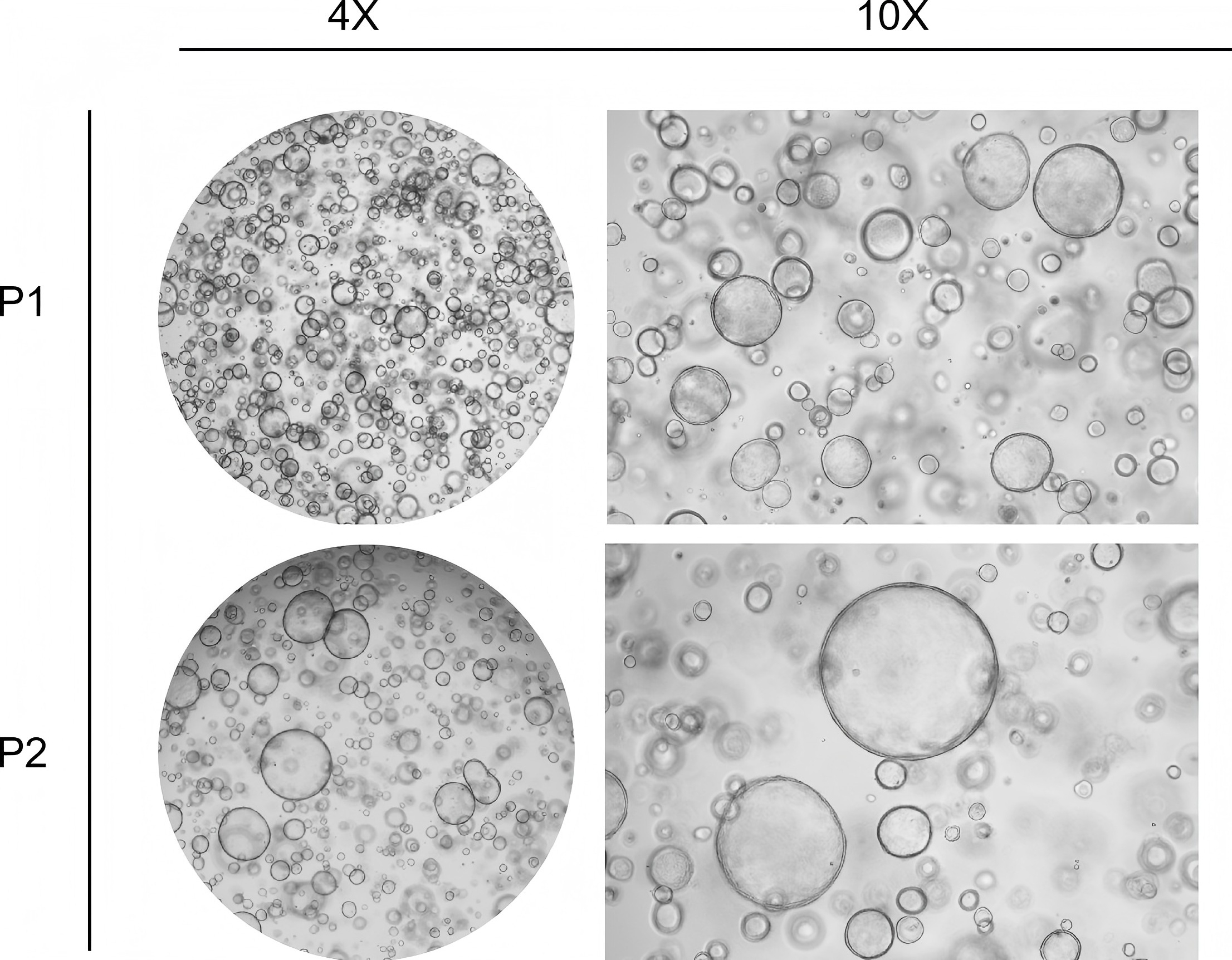
首页 /
| 货号 | 靶点 | 种属 | 表达宿主 | 表达区域 | 标签 | 活性 | 纯度 |
|---|---|---|---|---|---|---|---|
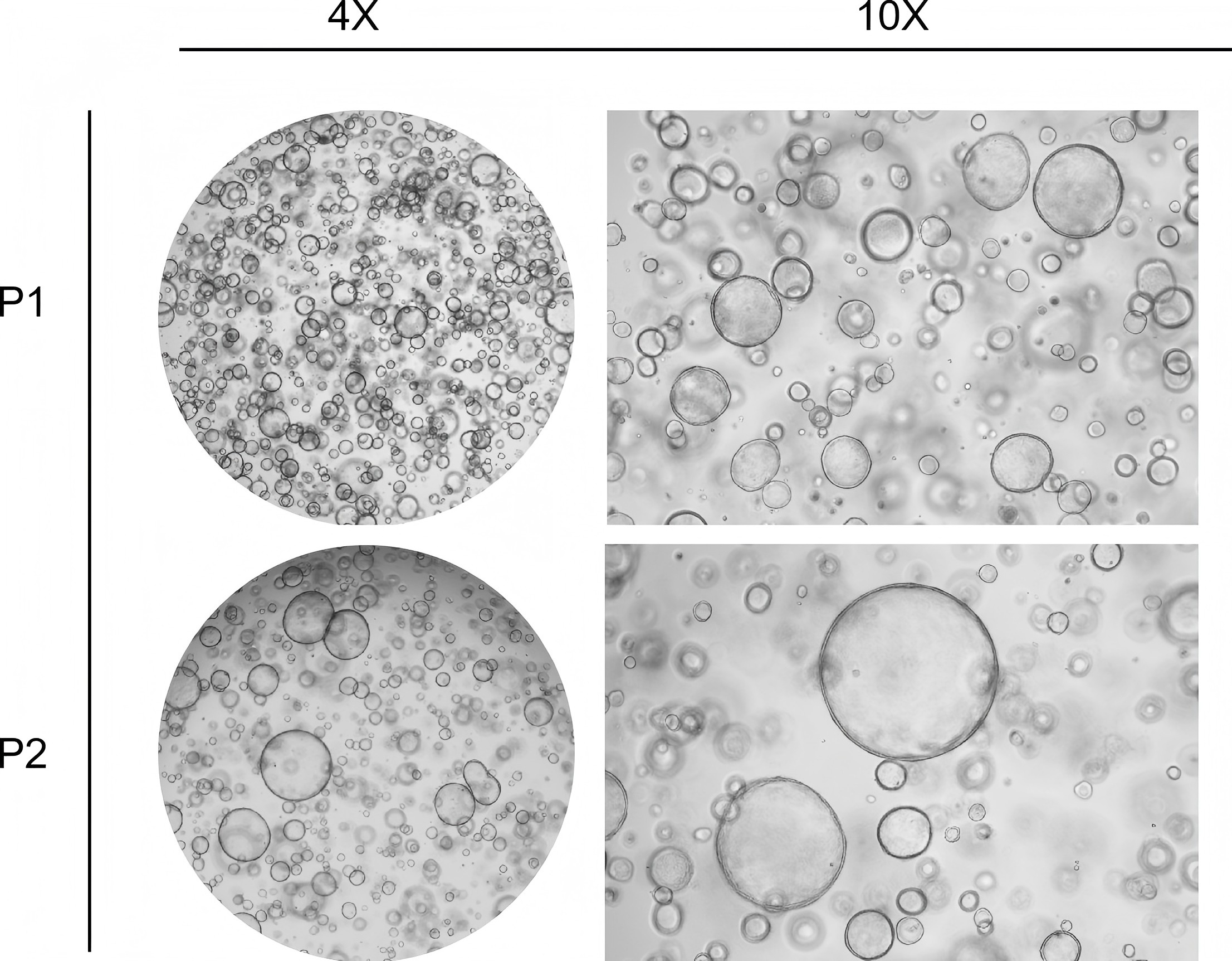
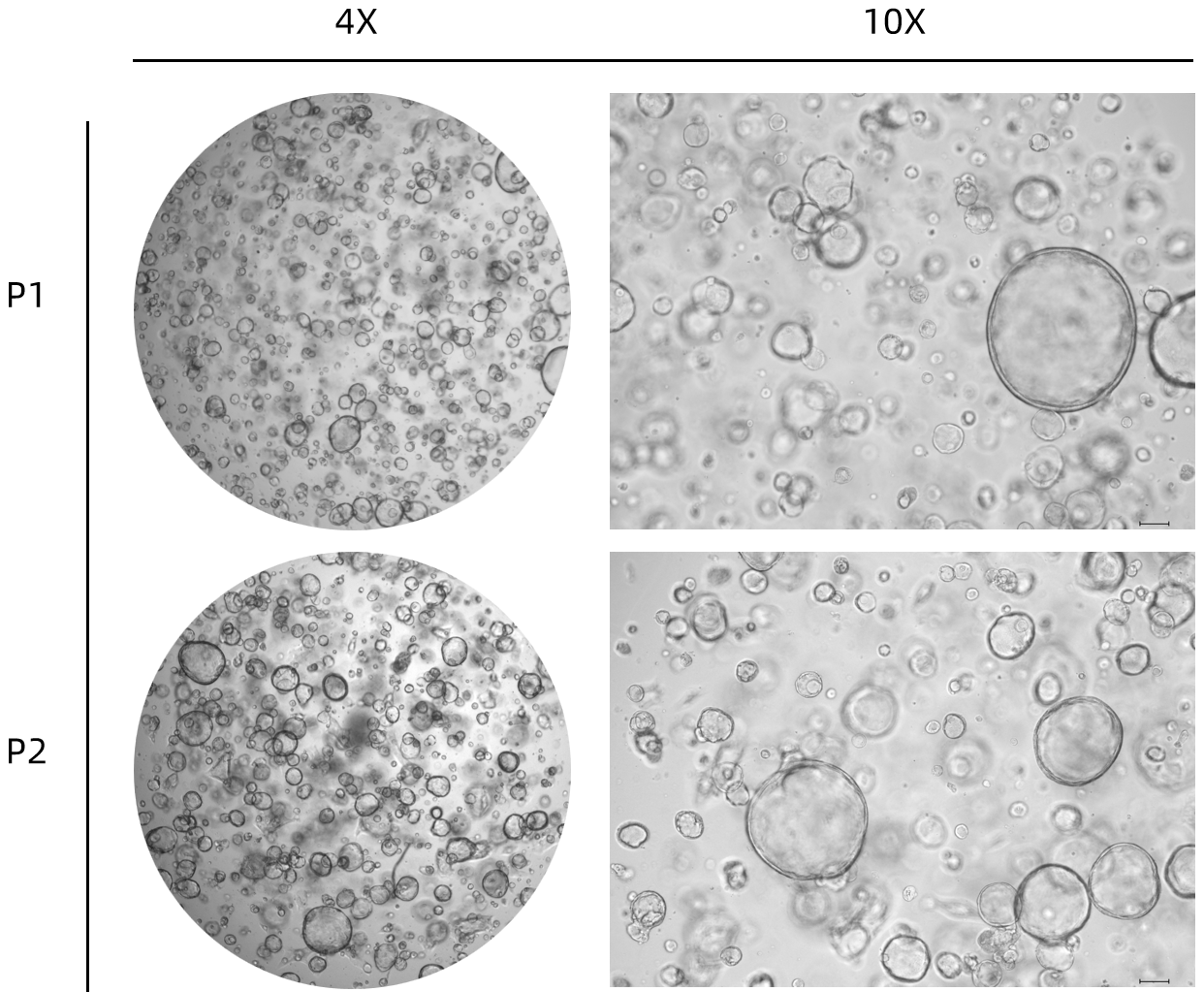
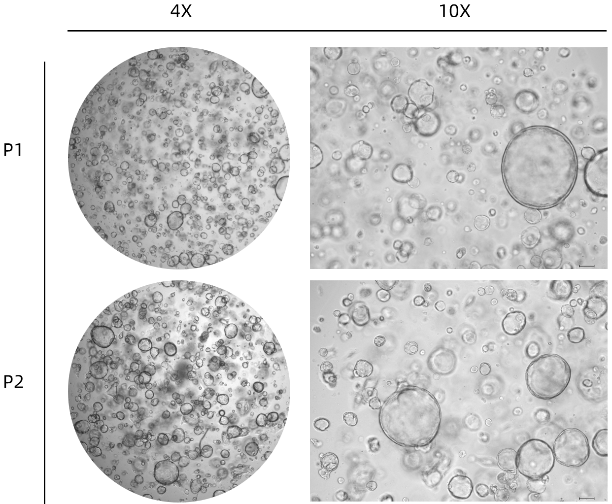
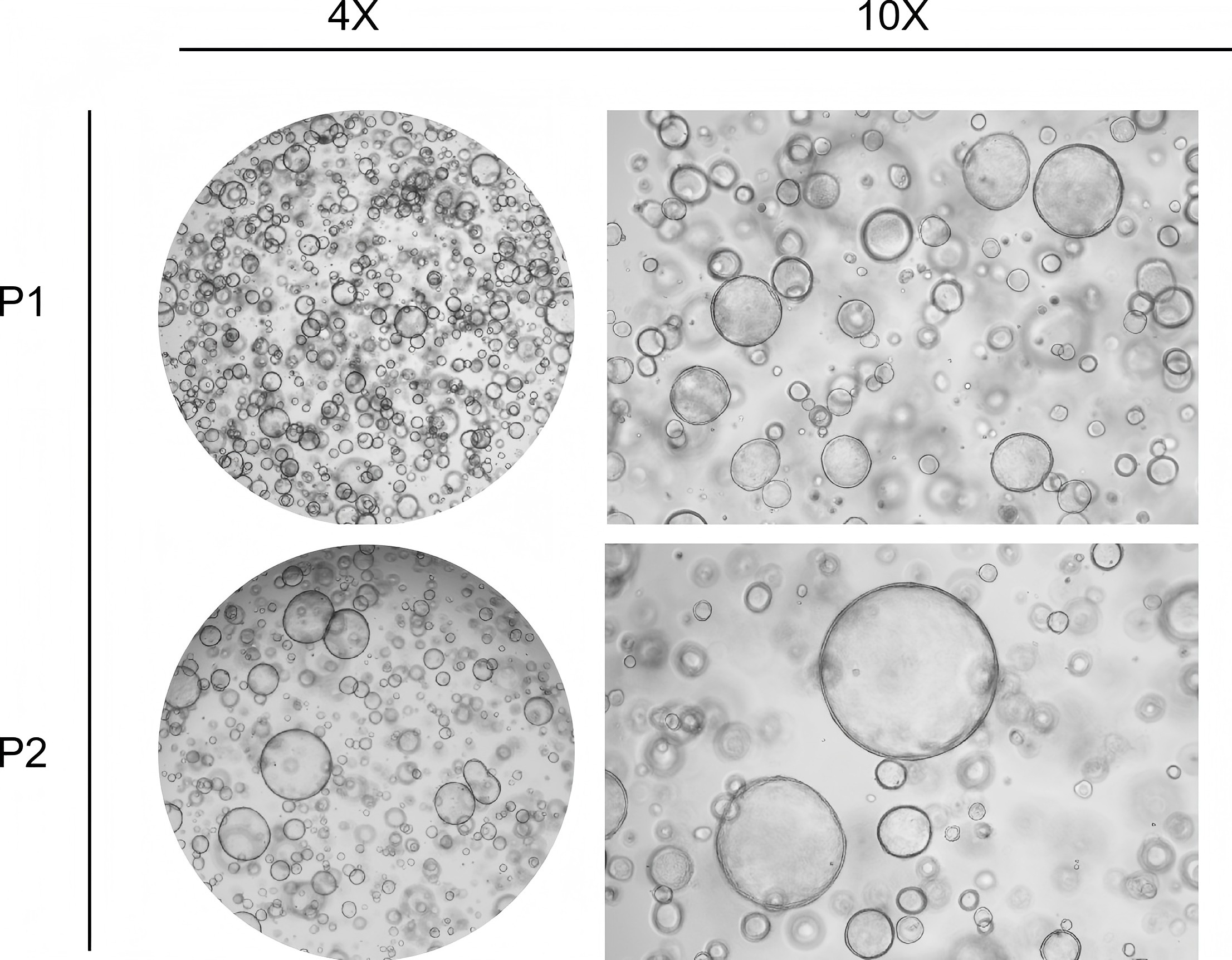
| RP00071 | R-spondin-1 | Human | HEK293 cells | Arg31-Ala263 | C-His | 有 | ![]() ![]() ![]() ![]() ![]() ![]() ![]() ![]() ![]() ![]() ![]() |
| RP01042 | FGF-2/bFGF | Human | E. coli | Pro143-Ser288 | No tag | 有 | ![]() ![]() ![]() ![]() ![]() ![]() |
| RP01030 | EGF | Human | HEK293 cells | Asn971-Arg1023 | C-hFc&His | 有 | ![]() ![]() ![]() ![]() ![]() |
| RP01237 | Noggin/NOG | Human | HEK293 cells | Gln28-Cys232 | C-His | 有 | ![]() ![]() ![]() ![]() ![]() ![]() ![]() ![]() ![]() ![]() ![]() ![]() ![]() |
| RP01243 | BDNF | Human,Mouse,Rat | E. coli | His129-Arg247 | C-His | 有 | ![]() ![]() ![]() ![]() ![]() |
| RP01763 | PDGF-BB | Human | Pichia | Ser82-Thr190 | No-tag | 有 | ![]() ![]() ![]() |
| RP01242 | FGF-1/aFGF | Human | E. coli | Phe16-Asp155 | C-His | 有 | ![]() ![]() ![]() ![]() |
| RP01140 | FGF-10 | Human | E. coli | Gln38-Ser208 | No tag | 有 | ![]() ![]() ![]() ![]() ![]() ![]() ![]() ![]() |
| RP01343 | Dkk-1 | Human | HEK293 cells | Thr32-His266 | C-His | 有 | ![]() ![]() ![]() ![]() |
| RP01616 | IL-22 | Human | HEK293 cells | Ala34-Ile179 | C-His | 有 | ![]() ![]() |
| RP01602 | Hepatocyte growth factor/HGF | Human | HEK293 cells | Gln32-Ser728 | C-His | 有 | ![]() ![]() ![]() ![]() ![]() ![]() |
| RP02942 | IL-22 | Mouse | HEK293 cells | Leu34-Val179 | C-His | 有 | ![]() ![]() |
| RP01618SLQ | Wnt Surrogate Protein | Human | HEK293 Cells | C-hFc | 有 | ![]() ![]() ![]() ![]() ![]() ![]() ![]() ![]() ![]() | |
| RP01874 | IL-4 | Rat | HEK293 cells | Cys25-Ser147 | C-His | 有 | ![]() ![]() |
| RP01345 | FGF-2/bFGF | Mouse | E. coli | Ala11-Ser154 | C-His | 有 | ![]() ![]() |