
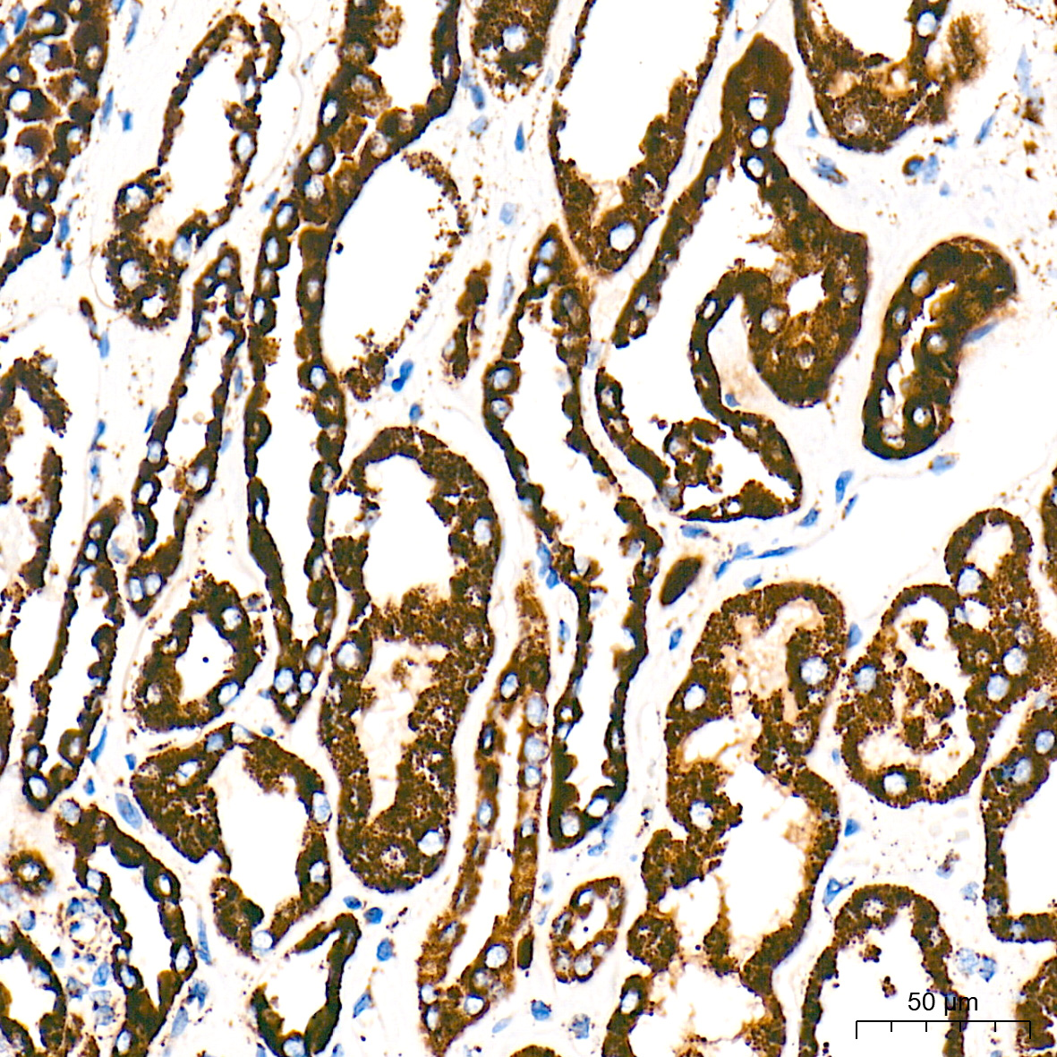
线粒体是是细胞中制造能量的结构,也是细胞进行有氧呼吸的主要场所。线粒体参与诸如细胞分化、细胞信息传递和细胞凋亡等过程,并与多种代谢类疾病相关。
核膜是一类双层膜结构,由外核膜与内核膜组成,外膜与内质网的一部分相连接,内膜包围核质,并被核层覆盖,内核膜蛋白的突变可引起几种核包膜病,包括核纤层蛋白病等。
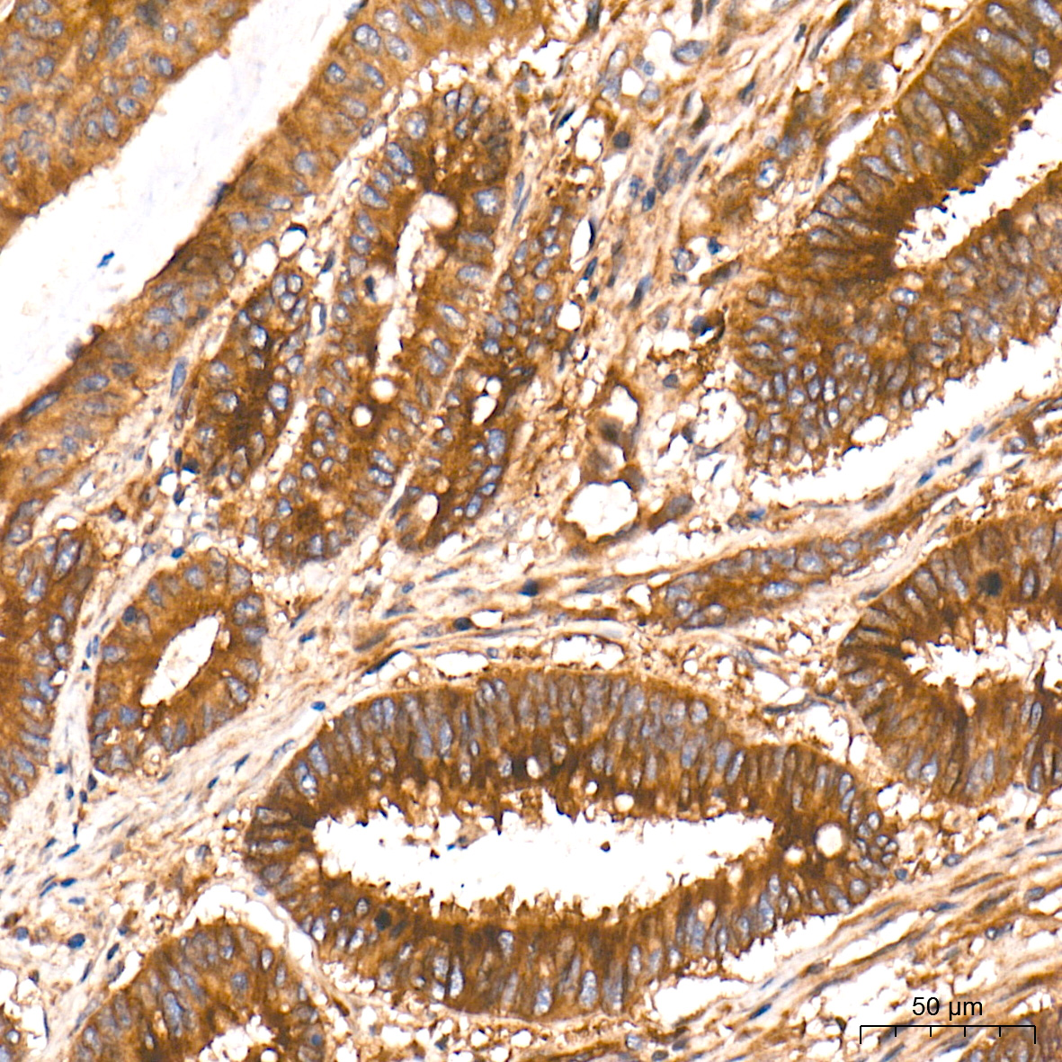
内质网是细胞内蛋白加工及脂质合成的“车间”。可分为滑面内质网和粗面内质网两种,粗面内质网加工蛋白,滑面内质网合成脂质。内质网应激与多种疾病相关,包括癌症、糖尿病和神经性疾病等。
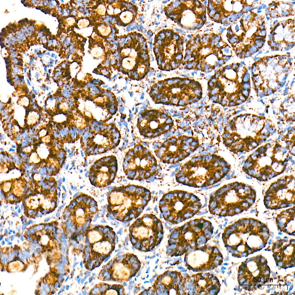
溶酶体是细胞内重要的降解和回收“中心”。它含有多种水解酶,能够分解蛋白质、脂质、多糖和核酸等大分子。通过自噬与内吞途径,溶酶体参与清除细胞内废弃物和受损细胞器,维持细胞内稳态。
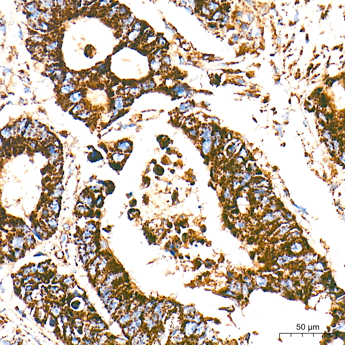
细胞骨架是指真核细胞中的蛋白纤维网络结构,不仅在维持细胞形态,承受外力、保持细胞内部结构的有序性方面发挥重要作用,还参与许多重要的生命活动,例如牵引染色体分离和物质转运等。
核糖体一种核糖核蛋白颗粒,其功能是按照mRNA的指令将遗传密码转换成氨基酸序列并从氨基酸单体构建为蛋白质聚合物,核糖体积极参与蛋白质折叠,对于获得功能性蛋白至关重要。
核仁是真核细胞间期核中最明显的结构,位于细胞核中,核仁组成成分包括rRNA,rDNA和核糖核蛋白。核仁是rRNA基因存储,rRNA合成加工以及核糖体亚单位的装配场所。对RNA基因的转录、RNA前体的加工成熟、核糖体亚单位的组装有重要的作用。