
目前肿瘤标志物检测除了放射免疫分析,化学发光免疫分析,酶联免疫吸附试验,免疫传感器,蛋白组学,还有分子生物学方法和液体活检。分子水平检测常用的检测平台qPCR,ddPCR及高通量测序(high-throughput sequencing)。液体活检技术主要包括循环肿瘤细胞(circulating tumor cell, CTC)检测、循环肿瘤DNA(circulating tumor DNA, ctDNA)检测、外泌体检测等。ABclonal针对肿瘤检测,提供相应解决方案,包含样品组织制备和核酸纯化提取试剂,以及针对qPCR及高通量测序NGS平台的原料试剂。
肿瘤样本制备——核酸纯化
| 产品名称 | 产品定位 | 产品货号 |
|---|---|---|
| AFTSpin Tissue/Cell Fast RNA Extraction Kit for Animal | 动物组织细胞RNA快速提取 | RK30120 |
| AFTSpin Blood/Tissue/Cell Fast DNA Extraction Kit | 血液组织细胞DNA提取 | RK30110 |
| AFTSpin Blood Fast RNA Extraction Kit | 全血RNA提取 | RK30125 |
| AFTSpin FFPE DNA Isolation Kit | FFPE DNA 提取 | RK30112 |
| AFTMag Quick Tissue/Cell RNA Extraction Kit for Animal | 磁珠法动物组织/细胞RNA提取 | RK30155 |
肿瘤qPCR检测
血液里的肿瘤生物标志物(如ctDNA)在癌症早期含量极低,而且在癌症的不同阶段和类型之间会波动。 基于qPCR的液体活检在检测通量上占有优势,并且可以降低检测的成本和复杂性。该检测方案可以用于ctDNA标记物的多重检测,包括甲基化ctDNA。
| 产品定位 | 产品名称 | 产品简介 | 产品货号 |
|---|---|---|---|
| 探针法qPCR | Entrans 2X qPCR Probe Master Mix | 预混液版 | RK21208 |
| Entrans qPCR Probe Kit | 酶+buffer+dNTP版 | RK21209 | |
| Entrans 2X qPCR Probe Master Mix with UDG | 带UDG预混液 | RK21222 | |
| Entrans 2X qPCR Probe Master Mix V2 | 预混液版 | RK21212 | |
| Entrans 2X qPCR Probe Master Mix with UDG V5 | 带UDG预混液+增强剂 | RK21225 | |
| 一步RT-qPCR (探针法) | ABScript III One Step RT-qPCR Probe Kit with UDG V5 | 探针法RT-qPCR | RK20412 |
| Fast One Step Probe RT-qPCR kit | 探针法RT-qPCR(快速) | RK20413 |
肿瘤DNA甲基化检测
相比常规癌症筛查方法包括镜检、B超、X光、CT、PET-CT诊断等,非侵入式cfDNA液体活检安全性,成本,和诊断性能都更好,具有大量癌细胞特异性基因特征,非常有潜力作为癌症早期筛查手段。DNA甲基化异常是驱动癌症形成的重要机制,cfDNA甲基化作为液体活检的重要成员,以C位(胞嘧啶)出道癌症早筛!
| 产品定位 | 产品名称 | 产品简介 | 产品货号 |
|---|---|---|---|
| DNA甲基化工具酶 | TET2 | 增强型双加氧酶,可应用于NGS甲基化检测、甲基化PCR和甲基化qPCR等领域 | RK20557 |
| T4-BGT | 糖基转移酶,可协助进行5-hmC的检测与分析,也可应用于NGS甲基化检测。 | RK20558 | |
| APOBEC | 胞嘧啶脱氨酶,应用于NGS甲基化检测、甲基化PCR和甲基化qPCR等领域。 | RK20559 | |
| Terminal Transferase | 末端脱氧核糖核酸转移酶,主要用途为寡核苷酸或DNA 3'羟基末端标记;DNA末端加尾(DNA tailing);S'-RACE;合成同一种脱氧核苷酸的寡聚链等。 | RK20552 | |
| DNA甲基化酶Mix/Kit | MethyLight 2X qPCR Probe Master Mix | 基于探针法进行MethyLightqPCR反应的专用试剂 | RK21240 |
| MethyLight qPCR Probe Kit | 基于探针法进行MethyLight qPCR反应的专用试剂盒 | RK21241 | |
| MethyLight qPCR Probe Set | 基于探针法进行MethyLight qPCR反应的专用试剂盒,将反应Buffer中的dNTPs和Mg2+拆分,方便用户进行体系优化 | RK21242 | |
| Gloria U 2X HS Master Mix | 可有效扩增含尿嘧啶的模板 | RK20722 | |
| Gloria U 2X Mix for NGS | 可用于含有尿嘧啶的模板扩增或者含有尿嘧啶的文库扩增 | RK20723 |
肿瘤NGS检测
伴随诊断是当前肿瘤NGS检测最主要的应用领域。伴随诊断有以下作用:确定哪些患者最可能受益于特定的治疗产品;确定哪些患者可能因治疗而发生严重的副作用;监控治疗反应。相比PCR技术只能检测已知突变,NGS可以一次性捕获已知未知靶点。
高通量DNA测序技术广泛的应用在产前诊断、肿瘤研究,遗传病筛查,微生物鉴定,作物遗传育种以及各类基础研究当中。文库构建是DNA高通量测序实验流程中关键的一步,高质量的DNA文库是测序成功的基础。
| 建库试剂盒系列 | 产品名称 | 产品简介 | 货号 |
|---|---|---|---|
| Rapid系列(机械法打断) | Rapid Plus DNA Lib Prep Kit for Illumina V2 | Illumina平台 | RK20255 |
| Rapid Plus DNA Lib Prep Kit for MGI V2 | MGI平台 | RK20256 | |
| Rapid Plus DNA Lib Prep Kit V2(No DDREs) | 兼容l lumina和MG I平台适用于宏基因组 | RK20271 | |
| One-step系列(转座酶法) | One-step DNA Lib Prep Kit for Illumina V2 (1 ng Input DNA) | 显著缩短文库构建时间 | RK20237 |
| One-step DNA Lib Prep Kit for Illumina V2 (5 ng Input DNA) | RK20238 | ||
| One-step DNA Lib Prep Kit for Illumina V2 (50 ng Input DNA) | RK20239 | ||
| FS系列(片段化酶法) | FS Pro DNA Lib Prep Kit V2 | 兼容Illumina和MGI平台,简化实验流程 | RK20275 |
| 酶切打断模块 | DNA Frag Module | 兼容不同物种DNA样本 | RK20260 |
| FS Module | RK20276 | ||
| Scale ssDNA系列(单链建库) | Scale ssDNA-seq Lib Prep Kit for Illumina | 适用于微量,困难样本 | RK20228 |
转录组是特定组织或细胞在某一发育阶段或功能状态下转录出来的所有RNA的集合,主要包括mRNA和非编码RNA(non-coding RNA, ncRNA)。转录组测序(RNA-Seq)是指利用第二代高通量测序技术进行cDNA测序,全面快速地获取某一物种特定器官或组织在某一状态下的几乎所有转录本。转录组研究是基因功能及结构研究的基础和出发点, 了解转录组是解读基因组功能元件和揭示细胞及组织中分子组成所必需的,并且对理解机体发育和疾病具有重要作用。
| 产品定位 | 产品名称 | 产品简介 | 货号 |
|---|---|---|---|
| Poly(A)RNA捕获 | Poly(A)mRNA Capture Module | 适合于从纯化的total RNA中分离获取poly(A)RNA | RK20340 |
| rRNA去除模块 | rRNA Depletion module (H/M/R) | 适用于人/大、小鼠total RNA及发生降解的RNA样本 | RK20348 |
| 快速RNA建库 | Fast RNA-seq Lib Prep Kit V2 | 缩短建库时间至3 hr, 兼容MGl、Illumina平台 | RK20306 |
| RNA-seq Lib Prep Kit (with FS) | 片段化酶切打断RNA建库 | RK20308 | |
| 经典RNA建库 | Stranded mRNA-seq Lib Prep Module for Illumina | 适合于Illumina平台 | RK20349 |
| mRNA-seq Lib Prep Module for Illumina | 适合于lllumina平台 | RK20350 | |
| Small RNA建库 | Small RNA Lib Prep Kit for Illumina V3 | 适合于Illumina平台 | RK20312 |
| 单细胞RNA系列 | Single Cell/Low Input cDNA Synthesis &Amplification Module | 适用于单细胞全长cDNA合成 | RK20310 |
| 一链&二链cDNA合成系列 | First Strand Synthesis Module | 非链特异性cDNA一链合成试剂盒 | RK20353 |
| First Strand Synthesis Module (Stranded) | 链特异性cDNA一链合成试剂盒 | RK20342 | |
| Second Strand Synthesis Module | 非链特异性cDNA二链合成试剂盒 | RK20346 | |
| Second Strand Synthesis Module (Stranded) | 链特异性cDNA一链合成试剂盒 | RK20343 |
靶向捕获测序是仅关注基因组中的特定区域并进行定向富集和分析,可以一次性检测单核甘酸变异、易位、结构变异、插入和缺失及拷贝数变异等。为个体靶向治疗,免疫治疗及术后复发监控等临床应用提供指导。ABclonal杂交捕获体系提供了适用于Illumina / MGI高通量测序平台的杂交捕获试剂,包括杂交与洗脱缓冲液试剂、人基因组重复序列封闭试剂、适用于Illumina / MGI文库的接头封闭试剂、PCR扩增试剂、PCR扩增引物以及捕获磁珠。这些靶向捕获试剂经过精心优化,具有高灵敏性和特异性可用于各种致病基因的研究以及健康筛查等。
| 产品名称 | 产品简介 | 货号 |
|---|---|---|
| sCAP Hybridization and Wash Kit V2 | 杂交和洗脱缓冲液试剂 | RK20277 |
| Human Cot DNA | 人基因组重复序列封闭试剂 | RK20268 |
| ILM Universal Blockers-X1 | 适用于Illumina文库的通用Blocker封闭试剂 | RK20269 |
| MGI Universal Blockers-S | 适用于MGI单端index文库的通用Blocker封闭试剂 | RK20278 |
| MGI Universal Blockers-D | 适用于MGI双端index文库的通用Blocker封闭试剂 | RK20279 |
| Streptavidin Beads | 捕获磁珠 | RK20270 |
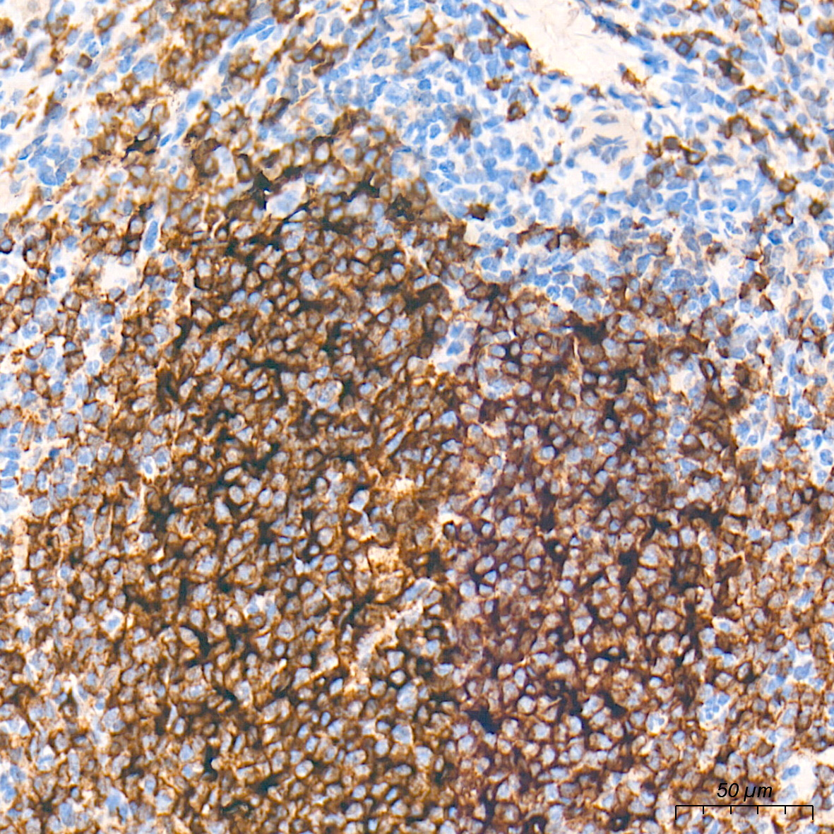
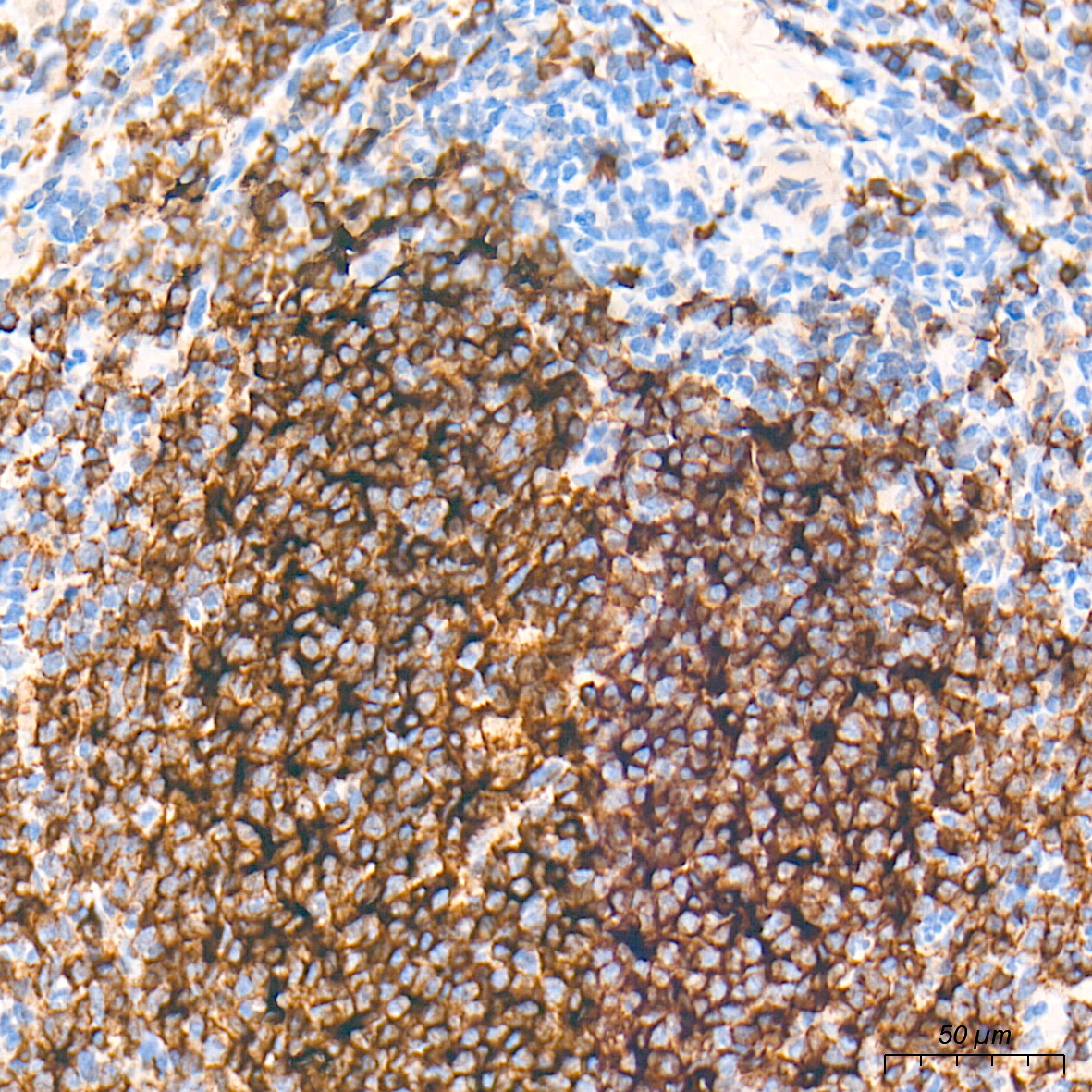
肿瘤标志物抗体是一种用于检测和研究癌症的抗体。它们特异性地结合到与癌症相关的分子,如肿瘤标志物,从而允许对这些标志物的检测和分析。这些抗体在癌症的早期诊断、疾病监测和治疗研究中发挥重要作用。通过与肿瘤标志物相互作用,抗体可以帮助科学家和医生更准确地了解癌症的发展和进展。
肿瘤标志物代表性抗体产品