
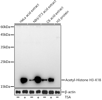
表观遗传学与核信号
蛋白质磷酸化
癌症
信号转导
细胞生物学-发育生物学
内分泌代谢
免疫学与炎症
神经科学
干细胞
心血管
Epigenetic changes can modify the activation of certain genes, but not the sequence of DNA. Additionally, the chromatin proteins associated with DNA may be activated or silenced. This is why the differentiated cells in a multi-cellular organism express only the genes that are necessary for their own activity. Histone modifications are epigenetic marks that effect gene expression patterns.