
细胞凋亡机制
细胞凋亡由外源性途径与内源性途径执行凋亡程序。
由细胞表面的死亡受体及相关配体引发。死亡受体由TNFR家族成员(TNFR1/2、Fas等)组成,其相关配体包括TNF-α、FasL、TRAIL等。配体结合诱导受体激活,导致死亡诱导信号复合物的形成,从而激活Pro-Caspase。激活后的Caspase可引起凋亡反应。
主要由Bcl-2家族中蛋白质活性之间平衡的严格调节,Bcl-2家族包括促凋亡(Bax、Bak、Bad、Bid等)和抗凋亡(Bcl-2、Bcl-xL等) 因子。促凋亡蛋白BAX和BAK诱导线粒体外膜通透性 (MOMP) 发生变化,导致细胞色素c从细胞器的膜间隙释放,与APAF-1形成称为凋亡小体的复合物,激活Caspase-9并触发一系列凋亡事件。
内源性途径和外源性途径最终都依赖于半胱天冬酶家族特定成员的蛋白酶活性。半胱天冬酶分为两大类:“启动者”Caspases-2、8、9、10和 12与上游促凋亡信号紧密耦合,并通过切割和激活下游“执行者”Caspases-3、6和7起作用,修饰最终负责细胞分解的蛋白质。
| 分类 | 研究靶点 | 产品名称 | 产品货号 |
|---|---|---|---|
| Bcl2家族(促生存) | Bcl-2 | Bcl-2 Rabbit mAb | A19693 |
| Bcl2家族(促凋亡) | Bax | [KO Validated] Bax Rabbit mAb | A18642 |
| Bcl2家族(促凋亡) | Bak | Bak Rabbit mAb | A10754 |
| Bcl2家族(促凋亡) | Bad | Bad Rabbit mAb | A19595 |
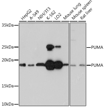
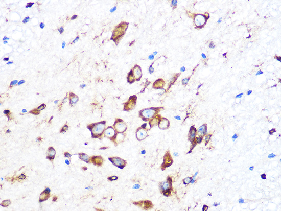
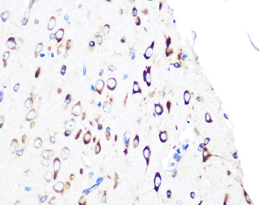
| Bcl2家族(促凋亡) | PUMA | PUMA Rabbit mAb | A3752 |
| Caspase家族 | Caspase-3 | [KO Validated] active + pro Caspase-3 Rabbit mAb | A19654 |
| Caspase家族 | Caspase-9 | Caspase-9 Rabbit mAb | A11910 |
| Caspase家族 | Caspase-12 | Caspase-12 Rabbit mAb | A22864 |
| 死亡受体及相关蛋白 | TNFRSF10B | DR5/TRAILR2/TNFRSF10B Rabbit mAb | A19043 |
| 死亡受体及相关蛋白 | Fas | Fas Rabbit mAb | A19582 |
| 死亡受体及相关蛋白 | FADD | FADD Rabbit mAb | A19838 |
| 死亡受体及相关蛋白 | TRAF2 | [KD Validated] TRAF2 Rabbit mAb | A19129 |
| 死亡受体及相关蛋白 | RIP1 | RIPK1/RIP Rabbit mAb | A19580 |
| 凋亡调节分子 | cIAP1 | [KO Validated] cIAP1 Rabbit mAb | A19688 |
| 线粒体凋亡途径相关蛋白 | Cytochrome C | [KO Validated] Cytochrome C Rabbit mAb | A4912 |
| 线粒体凋亡途径相关蛋白 | VDAC | VDAC1 Rabbit mAb | A19707 |
| 线粒体凋亡途径相关蛋白 | AIF | AIF Rabbit mAb | A19536 |
| 线粒体凋亡途径相关蛋白 | Smac/Diablo | Smac/Diablo Rabbit mAb | A8889 |
| DNA片段化相关 | PARP1 | PARP1 Rabbit mAb | A19596 |