
首页 / 产品和服务 / 产品类型 / 抗体产品 / 多克隆抗体
Catalog:A7768
GeneID:10229
Application:WBIHC-PIF/ICCIPChIPChIP-seqRIPFCFC (intra)ELISA(ELISA)MeDIPNucleotide ArrayDBFACSCoIPFCMCUT&TagmeRIPInhibitionSlot blotmIHCIF-PIF-FIHC-F
Reactivity:Human, Mouse, Rat
Synonyms:CAT5; CLK1; CLK-1; COQ10D8; COQ7
Type:Rabbit Polyclonal Antibody
Catalog:A7763
GeneID:9532
Application:WBIHC-PIF/ICCIPChIPChIP-seqRIPFCFC (intra)ELISA(ELISA)MeDIPNucleotide ArrayDBFACSCoIPFCMCUT&TagmeRIPInhibitionSlot blotmIHCIF-PIF-FIHC-F
Reactivity:Human
Synonyms:BAG-2; dJ417I1.2; BAG2
Type:Rabbit Polyclonal Antibody
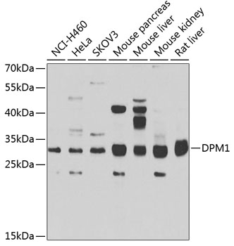
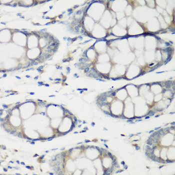
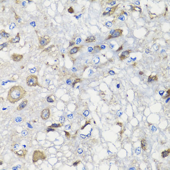
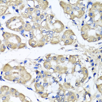
Catalog:A7757
GeneID:8813
Application:WBIHC-PIF/ICCIPChIPChIP-seqRIPFCFC (intra)ELISA(ELISA)MeDIPNucleotide ArrayDBFACSCoIPFCMCUT&TagmeRIPInhibitionSlot blotmIHCIF-PIF-FIHC-F
Reactivity:Human, Mouse, Rat
Synonyms:MPDS; CDGIE; DPM1
Type:Rabbit Polyclonal Antibody
Catalog:A7740
GeneID:7125
Application:WBIHC-PIF/ICCIPChIPChIP-seqRIPFCFC (intra)ELISA(ELISA)MeDIPNucleotide ArrayDBFACSCoIPFCMCUT&TagmeRIPInhibitionSlot blotmIHCIF-PIF-FIHC-F
Reactivity:Human, Mouse, Rat
Synonyms:FAP85; CFAP85; CMYP15; MYONRI; TNNC2
Type:Rabbit Polyclonal Antibody
Catalog:A7719
GeneID:5664
Application:WBIHC-PIF/ICCIPChIPChIP-seqRIPFCFC (intra)ELISA(ELISA)MeDIPNucleotide ArrayDBFACSCoIPFCMCUT&TagmeRIPInhibitionSlot blotmIHCIF-PIF-FIHC-F
Reactivity:Human, Mouse, Rat
Synonyms:AD4; PS2; AD3L; STM2; CMD1V; PSEN2
Type:Rabbit Polyclonal Antibody
Catalog:A7687
GeneID:3293
Application:WBIHC-PIF/ICCIPChIPChIP-seqRIPFCFC (intra)ELISA(ELISA)MeDIPNucleotide ArrayDBFACSCoIPFCMCUT&TagmeRIPInhibitionSlot blotmIHCIF-PIF-FIHC-F
Reactivity:Human, Mouse, Rat
Synonyms:EDH17B3; SDR12C2; HSD17B3
Type:Rabbit Polyclonal Antibody
Catalog:A7647
GeneID:617
Application:WBIHC-PIF/ICCIPChIPChIP-seqRIPFCFC (intra)ELISA(ELISA)MeDIPNucleotide ArrayDBFACSCoIPFCMCUT&TagmeRIPInhibitionSlot blotmIHCIF-PIF-FIHC-F
Reactivity:Human, Mouse, Rat
Synonyms:BCS; BJS; PTD; BCS1; FLNMS; h-BCS; MC3DN1; h-BCS1; GRACILE; Hs.6719; BCS1L
Type:Rabbit Polyclonal Antibody
Catalog:A7640
GeneID:29914
Application:WBIHC-PIF/ICCIPChIPChIP-seqRIPFCFC (intra)ELISA(ELISA)MeDIPNucleotide ArrayDBFACSCoIPFCMCUT&TagmeRIPInhibitionSlot blotmIHCIF-PIF-FIHC-F
Reactivity:Human, Mouse, Rat
Synonyms:SCCD; TERE1; UBIAD1
Type:Rabbit Polyclonal Antibody
Catalog:A7627
GeneID:64105
Application:WBIHC-PIF/ICCIPChIPChIP-seqRIPFCFC (intra)ELISA(ELISA)MeDIPNucleotide ArrayDBFACSCoIPFCMCUT&TagmeRIPInhibitionSlot blotmIHCIF-PIF-FIHC-F
Reactivity:Human
Synonyms:P33; Solt; CENP-K; FKSG14; AF5alpha; CENPK
Type:Rabbit Polyclonal Antibody
Catalog:A6823
GeneID:9271
Application:WBIHC-PIF/ICCIPChIPChIP-seqRIPFCFC (intra)ELISA(ELISA)MeDIPNucleotide ArrayDBFACSCoIPFCMCUT&TagmeRIPInhibitionSlot blotmIHCIF-PIF-FIHC-F
Reactivity:Human, Mouse, Rat
Synonyms:HIWI; MIWI; PIWI; CT80.1; PIWIL1
Type:Rabbit Polyclonal Antibody
Catalog:A5692
GeneID:3251
Application:WBIHC-PIF/ICCIPChIPChIP-seqRIPFCFC (intra)ELISA(ELISA)MeDIPNucleotide ArrayDBFACSCoIPFCMCUT&TagmeRIPInhibitionSlot blotmIHCIF-PIF-FIHC-F
Reactivity:Human, Mouse, Rat
Synonyms:HPRT; HGPRT; T1
Type:Rabbit Polyclonal Antibody
Catalog:A5508
GeneID:10346
Application:WBIHC-PIF/ICCIPChIPChIP-seqRIPFCFC (intra)ELISA(ELISA)MeDIPNucleotide ArrayDBFACSCoIPFCMCUT&TagmeRIPInhibitionSlot blotmIHCIF-PIF-FIHC-F
Reactivity:Human
Synonyms:RNF94; STAF50; GPSTAF50; TRIM22
Type:Rabbit Polyclonal Antibody
Catalog:A5088
GeneID:91949
Application:WBIHC-PIF/ICCIPChIPChIP-seqRIPFCFC (intra)ELISA(ELISA)MeDIPNucleotide ArrayDBFACSCoIPFCMCUT&TagmeRIPInhibitionSlot blotmIHCIF-PIF-FIHC-F
Reactivity:Human
Synonyms:CDG2E; COG7
Type:Rabbit Polyclonal Antibody
Catalog:A5077
GeneID:85476
Application:WBIHC-PIF/ICCIPChIPChIP-seqRIPFCFC (intra)ELISA(ELISA)MeDIPNucleotide ArrayDBFACSCoIPFCMCUT&TagmeRIPInhibitionSlot blotmIHCIF-PIF-FIHC-F
Reactivity:Human, Mouse, Rat
Synonyms:EFG; GFM; EFG1; EFGM; EGF1; hEFG1; COXPD1; mtEF-G1; GFM1
Type:Rabbit Polyclonal Antibody
Catalog:A4417
GeneID:10426
Application:WBIHC-PIF/ICCIPChIPChIP-seqRIPFCFC (intra)ELISA(ELISA)MeDIPNucleotide ArrayDBFACSCoIPFCMCUT&TagmeRIPInhibitionSlot blotmIHCIF-PIF-FIHC-F
Reactivity:Human, Mouse, Rat
Synonyms:104p; ALP6; GCP3; Spc98; SPBC98; Spc98p; Grip104; TUBGCP3
Type:Rabbit Polyclonal Antibody