
炎症小体是重要的天然免疫系统受体和感受器,通常由上游感受蛋白、接头蛋白ASC和下游效应caspase-1组成胞浆多聚蛋白复合体,通过调节caspase-1的激活,介导传染性微生物和细胞损伤诱导的炎症反应[1]。炎症小体识别各种微生物,包括各种原生动物、真菌、细菌和病毒,并对损伤相关的内源性因素(如线粒体DNA、成孔毒素、尿酸结晶、细胞外ATP、β淀粉样斑块和胰岛淀粉样多肽等)作出反应[2]。炎症小体激活需要两个信号:启动信号(信号1)和激活信号(信号2)[3]。启动信号由微生物成分或细胞因子触发,导致早期信号通路(如TLR信号通路)和转录因子(如NF-κB)的激活,并促进感受蛋白(如NLRP3)和白介素-1β前体(pro-IL-1β)和白介素-18前体(pro-IL-18)的上调。对于激活信号,有多种分子和细胞机制被提出作为激活炎症小体的触发机制,包括K+外排、Ca2+信号转导、胞桨dsDNA、活性氧(ROS)、线粒体功能障碍和溶酶体破裂等[3]。此外,NLRs的翻译后修饰,如磷酸化,泛素化甚至蛋白水解,已被认为是激活某些NLR感受器所必需的[4]。炎症小体激活后,会导致caspase-1发生自体切割并被活化,将pro-IL-1β和pro-IL-18切割成具有生物活性的成熟形式[5]。活化caspase-1也能切割Gasdermins(例如GSDMD),释放出的Gasdermin的N端结构域发生多聚化并在质膜中形成孔道,从而触发一种促使细胞裂解的炎性细胞死亡,称为细胞焦亡(pyroptosis)[6]。还有一些情况下,侵入细胞内的革兰氏阴性细菌产生的LPS或通过细胞囊泡带来的革兰氏阴性细菌的LPS,与细胞内caspase-4/5/11具有很高的亲和力,导致非典型炎症小体的多聚化组装[7]。这些caspase随后被激活,并通过切割GSDMD触发细胞焦亡。细胞焦亡迫使细胞内的病原体离开其复制场所,使其暴露于免疫监控体系,它还会触发细胞因子释放和危险相关分子DAMPs的产生,从而使免疫系统进一步对感染作出反应。

Western blot analysis of various lysates, using CASP1 Rabbit pAb (A0964) at 1:1800 dilution.
Secondary antibody: HRP-conjugated Goat anti-Rabbit IgG (H+L) (AS014) at 1:10000 dilution.
Lysates/proteins: 25μg per lane.
Blocking buffer: 3% nonfat dry milk in TBST.
Detection: ECL Enhanced Kit (RM00021).
Exposure time: 60s.

Western blot analysis of various lysates, using CASP1 Rabbit pAb (A0964) at 1:1800 dilution.
Secondary antibody: HRP-conjugated Goat anti-Rabbit IgG (H+L) (AS014) at 1:10000 dilution.
Lysates/proteins: 25μg per lane.
Blocking buffer: 3% nonfat dry milk in TBST.
Detection: ECL Basic Kit (RM00020).
Exposure time: 180s.

Confocal immunofluorescence analysis of Raw264.7 cells using Caspase-1 Rabbit pAb (A0964) at dilution of 1:200. Blue: DAPI for nuclear staining.

Immunofluorescence analysis of PC-12 cells using CASP1 Rabbit pAb (A0964) at dilution of 1:100 (40x lens). Secondary antibody: Cy3-conjugated Goat anti-Rabbit IgG (H+L) (AS007) at 1:500 dilution. Blue: DAPI for nuclear staining.
_IF_01.jpg?t=1756892987)
Immunofluorescence analysis of NIH/3T3 cells using Caspase-1 Rabbit pAb (A0964) at dilution of 1:200 (40x lens). Secondary antibody: Cy3-conjugated Goat anti-Rabbit IgG (H+L) (AS007) at 1:500 dilution. Blue: DAPI for nuclear staining.
_IF_02.jpg?t=1756892987)
Immunofluorescence analysis of U2OS cells using Caspase-1 Rabbit pAb (A0964) at dilution of 1:200 (40x lens). Secondary antibody: Cy3-conjugated Goat anti-Rabbit IgG (H+L) (AS007) at 1:500 dilution. Blue: DAPI for nuclear staining.
GSDMD (Full length+C terminal) Rabbit pAb

Western blot analysis of various lysates using GSDMD Rabbit pAb (A17308) at 1:1000 dilution.
Secondary antibody: HRP-conjugated Goat anti-Rabbit IgG (H+L) (AS014) at 1:10000 dilution.
Lysates/proteins: 25μg per lane.
Blocking buffer: 3% nonfat dry milk in TBST.
Detection: ECL Basic Kit (RM00020).
Exposure time: 90s.

Western blot analysis of recombinant GSDMD-FL and N+C Protein using GSDMD Rabbit pAb (A17308) at 1:1000 dilution incubated overnight at 4℃.
Secondary antibody: HRP-conjugated Goat anti-Rabbit IgG (H+L) (AS014) at 1:10000 dilution.
Lysates/proteins: 25ng per lane.
Blocking buffer: 3% nonfat dry milk in TBST.
Detection: ECL Basic Kit (RM00020).
Exposure time: 60s.

Immunofluorescence analysis of U2OS cells using GSDMD Rabbit pAb (A17308) at dilution of 1:200 (40x lens). Secondary antibody: Cy3-conjugated Goat anti-Rabbit IgG (H+L) (AS007) at 1:500 dilution. Blue: DAPI for nuclear staining.

Immunofluorescence analysis of A-431 cells using GSDMD (Full Length+N terminal) Rabbit pAb (A17308) at dilution of 1:200 (40x lens). Secondary antibody: Cy3-conjugated Goat anti-Rabbit IgG (H+L) (AS007) at 1:500 dilution. Blue: DAPI for nuclear staining.

Immunofluorescence analysis of HeLa cells using GSDMD Rabbit pAb (A17308) at dilution of 1:100 (40x lens). Secondary antibody: Cy3-conjugated Goat anti-Rabbit IgG (H+L) (AS007) at 1:500 dilution. Blue: DAPI for nuclear staining.

Immunofluorescence analysis of NIH/3T3 cells using GSDMD Rabbit pAb (A17308) at dilution of 1:100 (40x lens). Secondary antibody: Cy3-conjugated Goat anti-Rabbit IgG (H+L) (AS007) at 1:500 dilution. Blue: DAPI for nuclear staining.

Immunofluorescence analysis of PC-12 cells using GSDMD Rabbit pAb (A17308) at dilution of 1:100 (40x lens). Secondary antibody: Cy3-conjugated Goat anti-Rabbit IgG (H+L) (AS007) at 1:500 dilution. Blue: DAPI for nuclear staining.

Immunofluorescence analysis of PC-3 cells using GSDMD Rabbit pAb (A17308) at dilution of 1:100 (40x lens). Secondary antibody: Cy3-conjugated Goat anti-Rabbit IgG (H+L) (AS007) at 1:500 dilution. Blue: DAPI for nuclear staining.

Western blot analysis of various lysates using ASC/TMS1 Rabbit mAb (A22046)at 1:12000 dilution incubated at room temperature for 1.5 hours.
Secondary antibody: HRP-conjugated Goat anti-Rabbit IgG (H+L) (AS014) at 1:10000 dilution.
Lysates/proteins: 25 μg per lane.
Blocking buffer: 3% nonfat dry milk in TBST.
Detection: ECL Basic Kit (RM00020).
Negative control (NC): Jurkat
Exposure time: 10s.

Immunohistochemistry analysis of paraffin-embedded Human liver tissue using ASC/TMS1 Rabbit mAb (A22046) at a dilution of 1:200 (40x lens). High pressure antigen retrieval performed with 0.01M Citrate buffer (pH 6.0) prior to IHC staining.

Immunohistochemistry analysis of paraffin-embedded Human spleen tissue using ASC/TMS1 Rabbit mAb (A22046) at a dilution of 1:200 (40x lens). High pressure antigen retrieval performed with 0.01M Citrate buffer (pH 6.0) prior to IHC staining.

Western blot analysis of lysates from Mouse spleen, using ASC/TMS1 Rabbit pAb (A1170) at 1:1000 dilution.
Secondary antibody: HRP-conjugated Goat anti-Rabbit IgG (H+L) (AS014) at 1:10000 dilution.
Lysates/proteins: 25μg per lane.
Blocking buffer: 3% nonfat dry milk in TBST.
Detection: ECL Basic Kit (RM00020).
Exposure time: 60s.

Immunohistochemistry analysis of paraffin-embedded Human colon using ASC/TMS1 Rabbit pAb (A1170) at dilution of 1:100 (40x lens). High pressure antigen retrieval performed with 0.01M Citrate buffer (pH 6.0) prior to IHC staining.

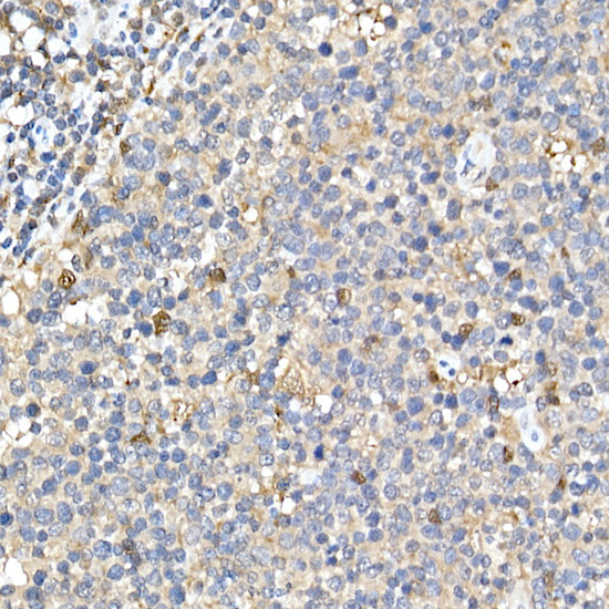
Immunohistochemistry analysis of paraffin-embedded Human tonsil using ASC/TMS1 Rabbit pAb (A1170) at dilution of 1:100 (40x lens). High pressure antigen retrieval performed with 0.01M Citrate buffer (pH 6.0) prior to IHC staining.

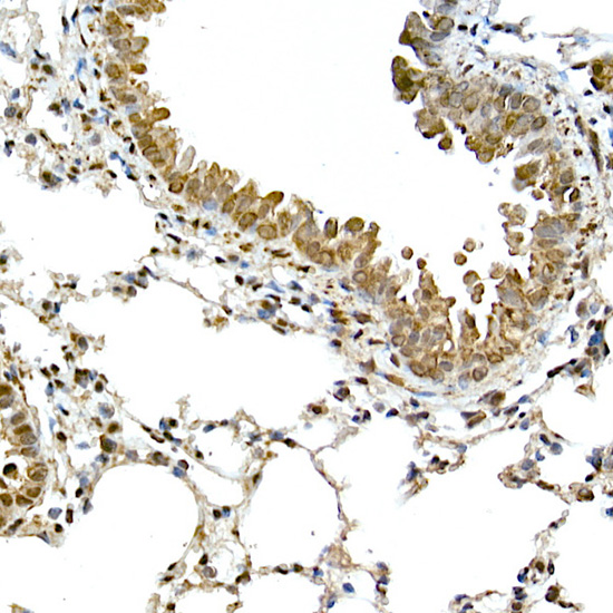
Immunohistochemistry analysis of paraffin-embedded Mouse lung using ASC/TMS1 Rabbit pAb (A1170) at dilution of 1:100 (40x lens). High pressure antigen retrieval performed with 0.01M Citrate buffer (pH 6.0) prior to IHC staining.

Immunohistochemistry analysis of paraffin-embedded Rat kidney using ASC/TMS1 Rabbit pAb (A1170) at dilution of 1:100 (40x lens). High pressure antigen retrieval performed with 0.01M Citrate buffer (pH 6.0) prior to IHC staining.

Immunofluorescence analysis of A-549 cells using ASC/TMS1 Rabbit pAb (A1170) at dilution of 1:200 (40x lens). Secondary antibody: Cy3-conjugated Goat anti-Rabbit IgG (H+L) (AS007) at 1:500 dilution. Blue: DAPI for nuclear staining.

Immunofluorescence analysis of paraffin-embedded mouse spleen using ASC/TMS1 Rabbit pAb (A1170) at dilution of 1:200 (40x lens). Secondary antibody: Cy3-conjugated Goat anti-Rabbit IgG (H+L) (AS007) at 1:500 dilution. Blue: DAPI for nuclear staining.

Immunofluorescence analysis of paraffin-embedded rat spleen using ASC/TMS1 Rabbit pAb (A1170) at dilution of 1:200 (40x lens). Secondary antibody: Cy3-conjugated Goat anti-Rabbit IgG (H+L) (AS007) at 1:500 dilution. Blue: DAPI for nuclear staining.
GSDME (Full length+N terminal)Rabbit pAb

Western blot analysis of various lysates using GSDME Rabbit pAb (A7432) at 1:1000 dilution incubated overnight at 4℃.
Secondary antibody: HRP-conjugated Goat anti-Rabbit IgG (H+L) (AS014) at 1:10000 dilution.
Lysates/proteins: 25 μg per lane.
Blocking buffer: 3% nonfat dry milk in TBST.
Detection: ECL Basic Kit (RM00020).
Exposure time: 90s.

Western blot analysis of lysates from Jurkat cells using GSDME Rabbit pAb (A7432) at 1:1000 dilution incubated overnight at 4℃.
Secondary antibody: HRP-conjugated Goat anti-Rabbit IgG (H+L) (AS014) at 1:10000 dilution.
Lysates/proteins: 25 μg per lane.
Blocking buffer: 3% nonfat dry milk in TBST.
Detection: ECL Enhanced Kit (RM00021).
Exposure time: 60s.

Immunohistochemistry analysis of paraffin-embedded Human pulmonary tuberculosis using GSDME Rabbit pAb (A7432) at dilution of 1:50 (40x lens). High pressure antigen retrieval performed with 0.01M Citrate buffer (pH 6.0) prior to IHC staining.

Immunohistochemistry analysis of paraffin-embedded Human pancreatic panniculitis using GSDME Rabbit pAb (A7432) at dilution of 1:50 (40x lens). High pressure antigen retrieval performed with 0.01M Citrate buffer (pH 6.0) prior to IHC staining.
_IF_01.jpg?t=1755253633)
Immunofluorescence analysis of U2OS cells using GSDME Rabbit pAb (A7432) at dilution of 1:50. Secondary antibody: Cy3-conjugated Goat anti-Rabbit IgG (H+L) (AS007) at 1:500 dilution. Blue: DAPI for nuclear staining.
_IF_02.jpg?t=1755253633)
Immunofluorescence analysis of NIH/3T3 cells using GSDME Rabbit pAb (A7432) at dilution of 1:50. Secondary antibody: Cy3-conjugated Goat anti-Rabbit IgG (H+L) (AS007) at 1:500 dilution. Blue: DAPI for nuclear staining.
_IF_03.jpg?t=1755253633)
Immunofluorescence analysis of PC-12 cells using GSDME Rabbit pAb (A7432) at dilution of 1:50. Secondary antibody: Cy3-conjugated Goat anti-Rabbit IgG (H+L) (AS007) at 1:500 dilution. Blue: DAPI for nuclear staining.

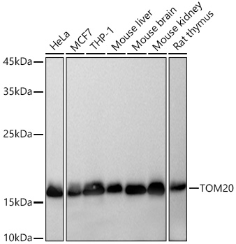
Western blot analysis of various lysates using TOM20 Rabbit mAb (A19403) at 1:5000 dilution incubated overnight at 4℃.
Secondary antibody: HRP-conjugated Goat anti-Rabbit IgG (H+L) (AS014) at 1:10000 dilution.
Lysates/proteins: 25 μg per lane.
Blocking buffer: 3% nonfat dry milk in TBST.
Detection: ECL Basic Kit (RM00020).
Exposure time: 10s.

Western blot analysis of lysates from 293T cells using TOM20 Rabbit mAb (A19403) at 1:5000 dilution incubated overnight at 4℃.
Secondary antibody: HRP-conjugated Goat anti-Rabbit IgG (H+L) (AS014) at 1:10000 dilution.
Lysates/proteins: 25 μg per lane.
Blocking buffer: 3% nonfat dry milk in TBST.
Detection: ECL Basic Kit (RM00020).
Exposure time: 10s.

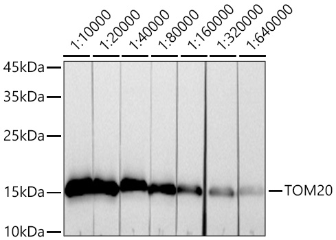
Western blot analysis of lysates from HeLa cells using TOM20 Rabbit mAb (A19403) at 1:10000-1:640000 dilution incubated overnight at 4℃.
Secondary antibody: HRP-conjugated Goat anti-Rabbit IgG (H+L) (AS014) at 1:10000 dilution.
Lysates/proteins: 25 μg per lane.
Blocking buffer: 3% nonfat dry milk in TBST.
Detection: ECL Basic Kit (RM00020).
Exposure time: 30s.

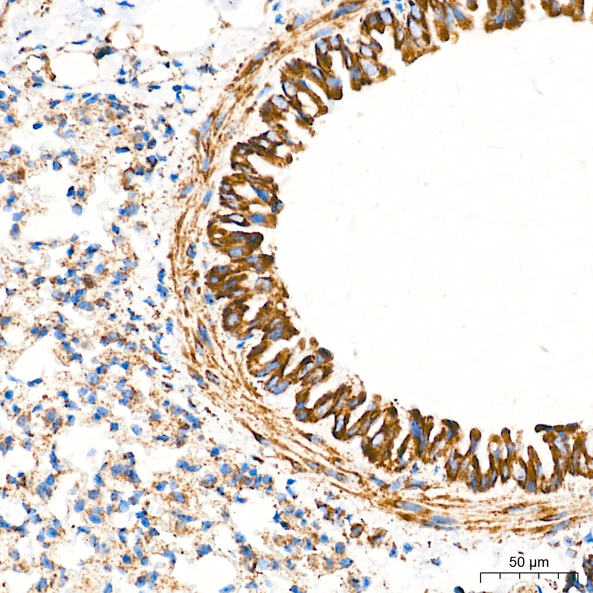
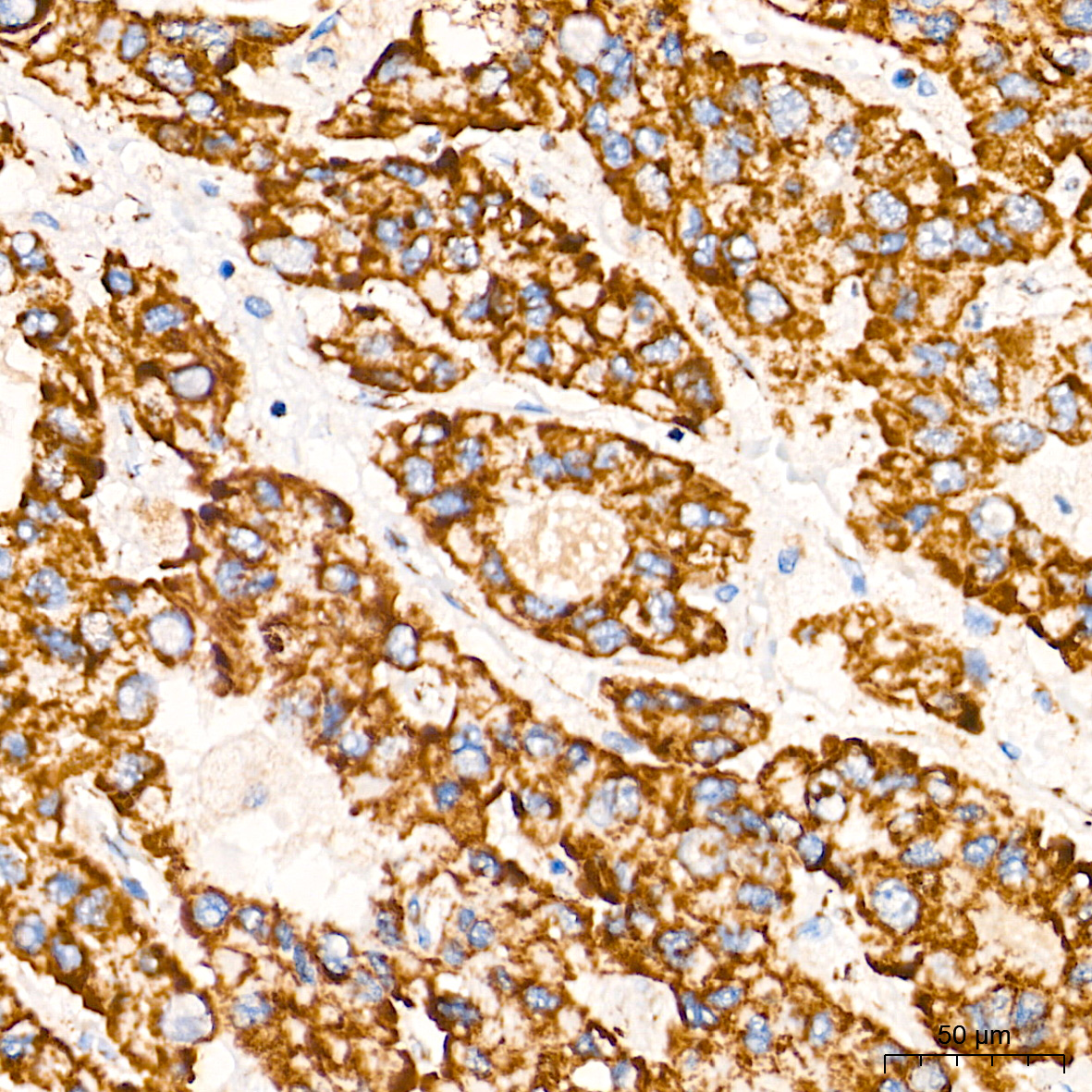
Immunohistochemistry analysis of paraffin-embedded Mouse lung tissue using TOM20 Rabbit mAb (A19403) at a dilution of 1:5000 (40x lens). High pressure antigen retrieval performed with 0.01M Tris-EDTA Buffer (pH 9.0) prior to IHC staining.

Immunohistochemistry analysis of paraffin-embedded Human liver cancer tissue using TOM20 Rabbit mAb (A19403) at a dilution of 1:5000 (40x lens). High pressure antigen retrieval performed with 0.01M Tris-EDTA Buffer (pH 9.0) prior to IHC staining.

Immunohistochemistry analysis of paraffin-embedded Rat intestine tissue using TOM20 Rabbit mAb (A19403) at a dilution of 1:5000 (40x lens). High pressure antigen retrieval performed with 0.01M Tris-EDTA Buffer (pH 9.0) prior to IHC staining.

The STORM super-resolution (SR) imaging of U-2 OS cells using TOM20 Rabbit mAb (A19403, ABclonal) at dilution of 1:100 with 3% paraformaldehyde (PFA) +0.1% glutaraldehyde (GA) fixation. The immunostaining was performed by Full Automatic Immunofluorescence Workflow System (Workflow Ultra300, Nano-Micro imaging, China). Image was performed with Single-Molecule Localization Super-Resolution Microscopy (STORM Ultra300, Nano-Micro imaging, China). We acknowledge Ningbo Nano-Micro imaging Biotechnology Co., Ltd. (宁波纳微成像生物科技有限公司) in SR image processing and kindly providing this image.

The STORM super-resolution (SR) imaging of U-2 OS cells using TOM20 Rabbit mAb (A19403, ABclonal) at dilution of 1:200 with 3% paraformaldehyde (PFA) +0.1% glutaraldehyde (GA) fixation. The immunostaining was performed by Full Automatic Immunofluorescence Workflow System (Workflow Ultra300, Nano-Micro imaging, China). Image was performed with Single-Molecule Localization Super-Resolution Microscopy (STORM Ultra300, Nano-Micro imaging, China). We acknowledge Nano-Micro imaging Biotechnology Co., Ltd. in SR image processing and kindly providing this image.

Confocal imaging of HeLa cells using TOM20 Rabbit mAb (A19403, dilution 1:2000) followed by a further incubation with Cy3 Goat Anti-Rabbit IgG (H+L) (AS007, dilution 1:500) (Red). The cells were counterstained with α-Tubulin Mouse mAb (AC012, dilution 1:400) followed by incubation with ABflo® 488-conjugated Goat Anti-Mouse IgG (H+L) Ab (AS076, dilution 1:500) (Green). DAPI was used for nuclear staining (Blue). Objective: 100x.

Confocal imaging of NIH/3T3 cells using TOM20 Rabbit mAb (A19403, dilution 1:2000) followed by a further incubation with Cy3 Goat Anti-Rabbit IgG (H+L) (AS007, dilution 1:500) (Red). The cells were counterstained with α-Tubulin Mouse mAb (AC012, dilution 1:400) followed by incubation with ABflo® 488-conjugated Goat Anti-Mouse IgG (H+L) Ab (AS076, dilution 1:500) (Green). DAPI was used for nuclear staining (Blue). Objective: 100x.

Confocal imaging of PC-12 cells using TOM20 Rabbit mAb (A19403, dilution 1:2000) followed by a further incubation with Cy3 Goat Anti-Rabbit IgG (H+L) (AS007, dilution 1:500) (Red). The cells were counterstained with α-Tubulin Mouse mAb (AC012, dilution 1:400) followed by incubation with ABflo® 488-conjugated Goat Anti-Mouse IgG (H+L) Ab (AS076, dilution 1:500) (Green). DAPI was used for nuclear staining (Blue). Objective: 100x.

Immunoprecipitation analysis of 200 μg extracts from HeLa cells using 3 μg TOM20 antibody (A19403). Western blot was performed from the immunoprecipitate using TOM20 antibody (A19403) at a dilution of 1:1000.
| 分类 |
|
||||||||||||||||
|---|---|---|---|---|---|---|---|---|---|---|---|---|---|---|---|---|---|
|
炎症小体成分 (感受器) |
|
||||||||||||||||
|
炎症小体成分 (接头分子) |
|
||||||||||||||||
|
炎症小体成分 (促炎caspase) |
|
||||||||||||||||
| 促炎细胞因子 |
|
||||||||||||||||
| 细胞焦亡效应分子 |
|
||||||||||||||||