
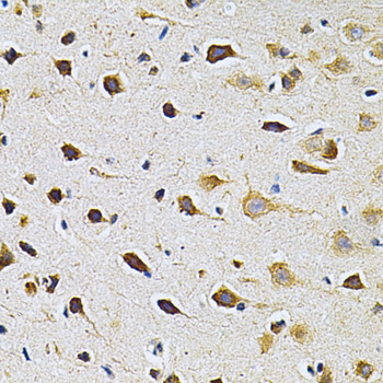
Catalog:A7916
GeneID:5214
Application:WBIHC-PIF/ICCIPChIPChIP-seqRIPFCFC (intra)ELISA(ELISA)MeDIPNucleotide ArrayDBFACSCoIPFCMCUT&TagmeRIPInhibitionSlot blotmIHCIF-PIF-FIHC-F
Reactivity:Human, Mouse, Rat
Synonyms:PFKF; PFK-C; PFK-P; ATP-PFK; PFKP
Type:Rabbit Polyclonal Antibody
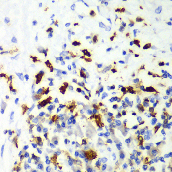
Catalog:A7324
GeneID:822
Application:WBIHC-PIF/ICCIPChIPChIP-seqRIPFCFC (intra)ELISA(ELISA)MeDIPNucleotide ArrayDBFACSCoIPFCMCUT&TagmeRIPInhibitionSlot blotmIHCIF-PIF-FIHC-F
Reactivity:Human, Mouse, Rat
Synonyms:MCP; AFCP; HEL-S-66; PG
Type:Rabbit Polyclonal Antibody
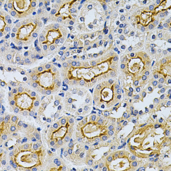
Catalog:A7306
GeneID:6449
Application:WBIHC-PIF/ICCIPChIPChIP-seqRIPFCFC (intra)ELISA(ELISA)MeDIPNucleotide ArrayDBFACSCoIPFCMCUT&TagmeRIPInhibitionSlot blotmIHCIF-PIF-FIHC-F
Reactivity:Human
Synonyms:SGT; Vpu; SGT1; hSGT; alphaSGT; SGTA
Type:Rabbit Polyclonal Antibody
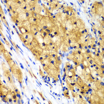
Catalog:A6761
GeneID:8407
Application:WBIHC-PIF/ICCIPChIPChIP-seqRIPFCFC (intra)ELISA(ELISA)MeDIPNucleotide ArrayDBFACSCoIPFCMCUT&TagmeRIPInhibitionSlot blotmIHCIF-PIF-FIHC-F
Reactivity:Human, Rat
Synonyms:HA1756; N2
Type:Rabbit Polyclonal Antibody
Catalog:A5746
GeneID:10672
Application:WBIHC-PIF/ICCIPChIPChIP-seqRIPFCFC (intra)ELISA(ELISA)MeDIPNucleotide ArrayDBFACSCoIPFCMCUT&TagmeRIPInhibitionSlot blotmIHCIF-PIF-FIHC-F
Reactivity:Human, Mouse, Rat
Synonyms:G13; HG1N; GNA13
Type:Rabbit Polyclonal Antibody
Catalog:A5486
GeneID:6282
Application:WBIHC-PIF/ICCIPChIPChIP-seqRIPFCFC (intra)ELISA(ELISA)MeDIPNucleotide ArrayDBFACSCoIPFCMCUT&TagmeRIPInhibitionSlot blotmIHCIF-PIF-FIHC-F
Reactivity:Human
Synonyms:MLN70; S100C; HEL-S-43; 11
Type:Rabbit Polyclonal Antibody
Catalog:A5404
GeneID:29904
Application:WBIHC-PIF/ICCIPChIPChIP-seqRIPFCFC (intra)ELISA(ELISA)MeDIPNucleotide ArrayDBFACSCoIPFCMCUT&TagmeRIPInhibitionSlot blotmIHCIF-PIF-FIHC-F
Reactivity:Human, Mouse
Synonyms:eEF-2K; CaMKIII; HSU93850; 2K
Type:Rabbit Polyclonal Antibody
Catalog:A4104
GeneID:6277
Application:WBIHC-PIF/ICCIPChIPChIP-seqRIPFCFC (intra)ELISA(ELISA)MeDIPNucleotide ArrayDBFACSCoIPFCMCUT&TagmeRIPInhibitionSlot blotmIHCIF-PIF-FIHC-F
Reactivity:Human, Mouse, Rat
Synonyms:2A9; PRA; 5B10; CABP; CACY; S10A6; A6
Type:Rabbit Polyclonal Antibody
Catalog:A4035
GeneID:5501
Application:WBIHC-PIF/ICCIPChIPChIP-seqRIPFCFC (intra)ELISA(ELISA)MeDIPNucleotide ArrayDBFACSCoIPFCMCUT&TagmeRIPInhibitionSlot blotmIHCIF-PIF-FIHC-F
Reactivity:Human, Mouse, Rat
Synonyms:PP1C; PP-1G; PPP1G; CC
Type:Rabbit Polyclonal Antibody
Catalog:A1662
GeneID:156
Application:WBIHC-PIF/ICCIPChIPChIP-seqRIPFCFC (intra)ELISA(ELISA)MeDIPNucleotide ArrayDBFACSCoIPFCMCUT&TagmeRIPInhibitionSlot blotmIHCIF-PIF-FIHC-F
Reactivity:Human, Mouse, Rat
Synonyms:BARK1; ADRBK1; BETA-ARK1; K2
Type:Rabbit Polyclonal Antibody
Catalog:A15437
GeneID:28964
Application:WBIHC-PIF/ICCIPChIPChIP-seqRIPFCFC (intra)ELISA(ELISA)MeDIPNucleotide ArrayDBFACSCoIPFCMCUT&TagmeRIPInhibitionSlot blotmIHCIF-PIF-FIHC-F
Reactivity:Human, Mouse, Rat
Synonyms:p95-APP1; T1
Type:Rabbit Polyclonal Antibody
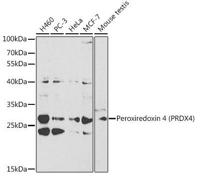
Catalog:A1486
GeneID:10549
Application:WBIHC-PIF/ICCIPChIPChIP-seqRIPFCFC (intra)ELISA(ELISA)MeDIPNucleotide ArrayDBFACSCoIPFCMCUT&TagmeRIPInhibitionSlot blotmIHCIF-PIF-FIHC-F
Reactivity:Human, Mouse, Rat
Synonyms:PRX-4; AOE372; AOE37-2; HEL-S-97n; 4)
Type:Rabbit Polyclonal Antibody
Catalog:A14770
GeneID:5605
Application:WBIHC-PIF/ICCIPChIPChIP-seqRIPFCFC (intra)ELISA(ELISA)MeDIPNucleotide ArrayDBFACSCoIPFCMCUT&TagmeRIPInhibitionSlot blotmIHCIF-PIF-FIHC-F
Reactivity:Human, Mouse, Rat
Synonyms:CFC4; MEK2; MKK2; MAPKK2; PRKMK2; K2
Type:Rabbit Polyclonal Antibody
Catalog:A14751
GeneID:4698
Application:WBIHC-PIF/ICCIPChIPChIP-seqRIPFCFC (intra)ELISA(ELISA)MeDIPNucleotide ArrayDBFACSCoIPFCMCUT&TagmeRIPInhibitionSlot blotmIHCIF-PIF-FIHC-F
Reactivity:Human, Mouse, Rat
Synonyms:B13; NUFM; UQOR13; CI-13kB; CI-13KD-B; NDUFA5
Type:Rabbit Polyclonal Antibody
Catalog:A14570
GeneID:1808
Application:WBIHC-PIF/ICCIPChIPChIP-seqRIPFCFC (intra)ELISA(ELISA)MeDIPNucleotide ArrayDBFACSCoIPFCMCUT&TagmeRIPInhibitionSlot blotmIHCIF-PIF-FIHC-F
Reactivity:Human, Mouse, Rat
Synonyms:DRP2; N2A3; CRMP2; DRP-2; ULIP2; CRMP-2; DHPRP2; ULIP-2; L2
Type:Rabbit Polyclonal Antibody