
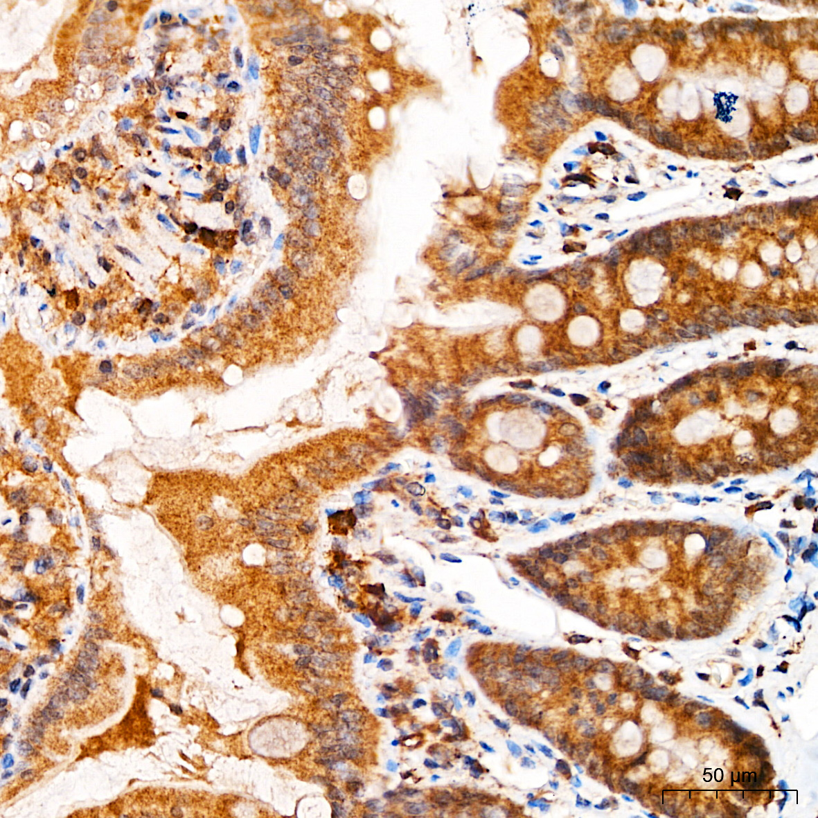
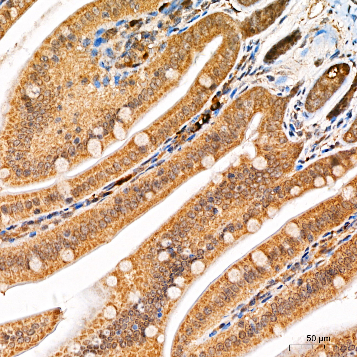
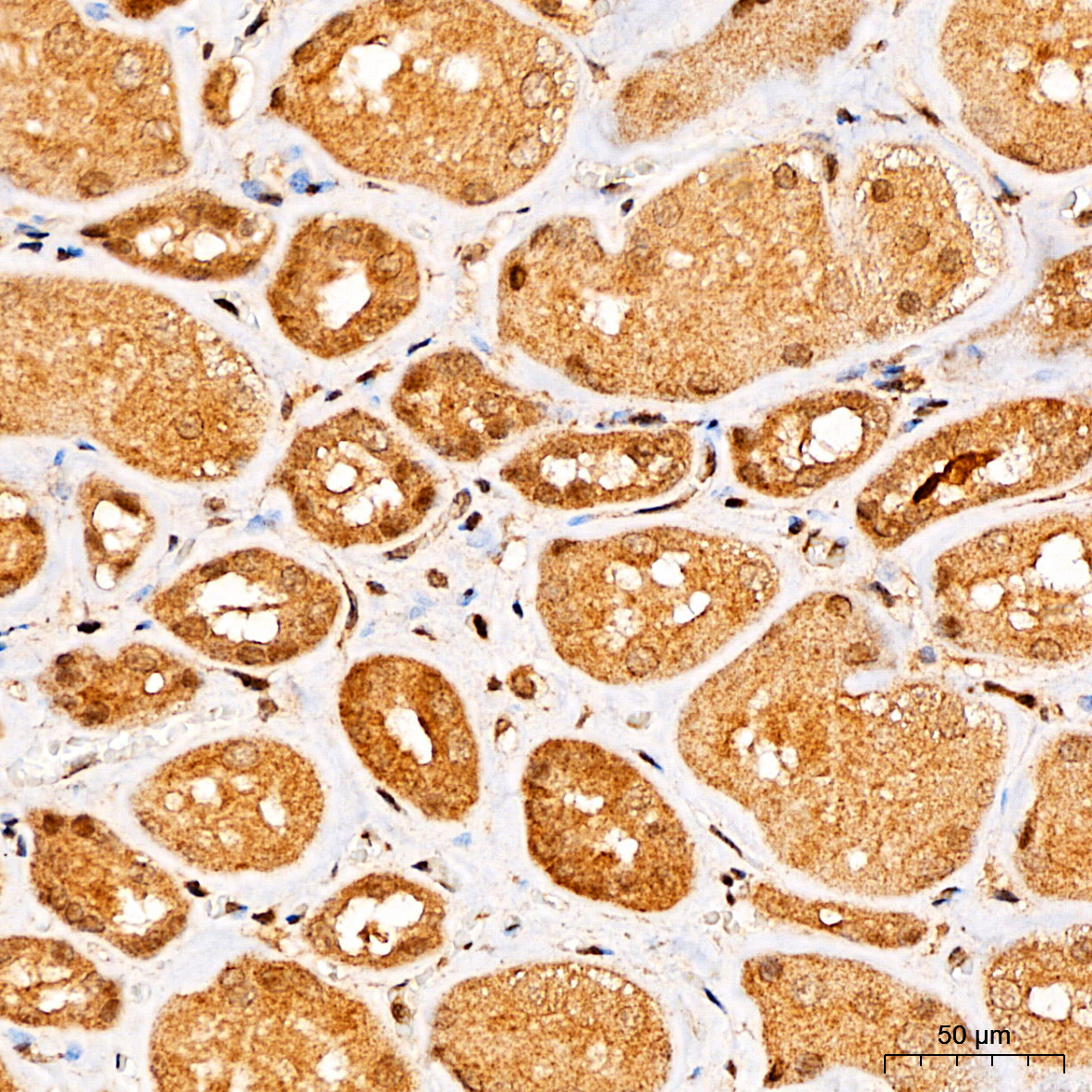
Cell autophagy is a highly conservative process in eukaryotes. Proteins from the ATG family play a key role in this process. Other proteins such as mTOR, beclin1, and FoxO also play important regulatory roles in autophagy. LC3 protein is a central indicator of cellular autophagy. LC3 undergoes posttranslational modification during autophagy. LC3 carboxy-terminal cleavage forms LC3-I (16KD) and is then lipidated to LC3-II (14KD) – the key protein in autophage formation. The concentration of LC3-II determines the standard of autophagy.
Through cell autophagy, organisms can maintain intracellular homeostasis and gain access to the corresponding energy and nutrients. Like apoptosis and cell senescence, autophagy is a very important biological phenomenon involved in biological development, growth, and other processes. Autophagy abnormalities can lead to cancer and other diseases, hence autophagy has long been a popular research area among scientist.