
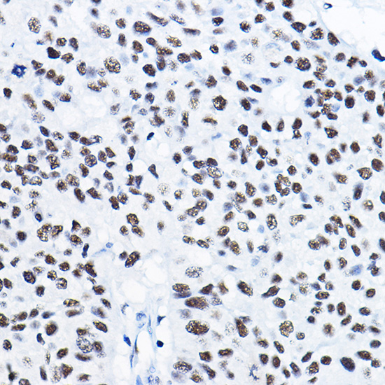
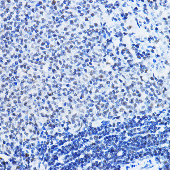
Notch signaling pathway is a highly conserved signaling pathway, which regulates the growth and development of organism via cell to cell interactions. It consists of transmembrane receptors, ligands, the nuclear binding proteins and target genes. Activated by ligands from the neighboring cells, notch receptors regulate proliferation and differentiation of various cells accurately through interaction between a series of molecules. Notch signaling pathway plays an important role in cell fate determination, central nervous system development and function, organ formation and somitogenesis during the development of vertebrate and invertebrate. Aberrant notch signaling pathway is associated with some tumorigenesis, which also plays a different regulative role in proliferation, differentiation, apoptosis and other processes of tumor cells regarding to various tissues or cell stage.