
病理诊断抗体专题
Pathological DiagnosisABclonal凭借第四代重组兔单抗Smab®平台,以ISO13485医疗器械管理体系标准,研发生产一系列病理诊断级别的特色重组单克隆抗体,采用临床样本严格验证,产品管线包括:已建立的常见标志物和潜在价值的新生标志物,涵盖肿瘤、心血管疾病、神经退行性疾病和传染病等多种疾病领域。ABclonal拥有专业的IVD产品研发团队,以丰富的抗体和IVD试剂盒开发经验,利用单B细胞克隆抗体开发技术可在较短时间内获得高质量与高稳定性的单抗,以满足不同的个性化需求。
转移生物标志物
肺癌生物标志物
乳腺癌的生物标志物
结直肠癌生物标志物
前列腺癌生物标志物
卵巢癌生物标志物
胰腺癌生物标志物
肝癌生物标志物
拥有独立知识产权的基于新一代单B细胞筛选和培养的单克隆抗体开发平台,批间一致性更高
ABclonal通过ISO13485医疗器械管理体系标准认证
抗体经过病理样本精细全面验证,包括阳性对照和阴性对照
大部分阳性样本均有很好的检测效果,阳性检出率平均在85%以上
不同病理靶点抗体稀释比至少1:100以上,部分达到1:1000
全部现货库存
人肠腺癌组织PD-L1染色(阴性对照样品,40倍放大)
人肺腺癌组织PD-L1染色,中等强度细胞膜阳性(40倍放大)
人肺癌肉瘤组织PD-L1染色,中到低强度细胞膜阳性(40倍放大)
人食管癌组织Cytokeratin 19染色,高强度中间丝阳性(40倍放大)
人结肠癌组织Cytokeratin 19染色,高强度中间丝阳性(40倍放大)
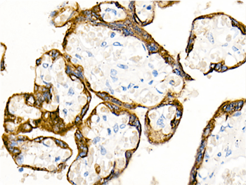
人胎盘组织Cytokeratin 19染色,中到高强度中间丝阳性(40倍放大)
人结肠癌组织Androgen Receptor染色(阴性对照样品,40倍放大)
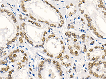
人前列腺癌组织Androgen Receptor染色,高强度细胞质阳性(40倍放大)
人良性前列腺增生组织Androgen Receptor染色,高强度细胞质阳性(40倍放大)