热门产品领域
按产品类型
爱博科仪
按产品服务类型
按热门领域
SMab重组兔单抗
多克隆抗体
单克隆抗体
ABflo®流式抗体
流式Panel组合
磷酸化
甲基化
乙酰化
其他修饰类
一步法RT-qPCR
DNA聚合酶
逆转录酶
UDG酶
等温扩增酶
dNTP系列
Taq酶抗体
RNase抑制剂
RNA聚合酶
常规PCR
等温扩增
高保真PCR
直扩PCR
PCR相关试剂
快速PCR
逆转录预混液
miRNA逆转录试剂盒
通用型逆转录试剂盒
其他逆转录试剂
染料法qPCR
探针法qPCR
SNP分型
无缝克隆
拓扑克隆
即用型LB平板
化学感受态细胞
限制性内切酶
DNA连接酶
点突变
DNA Ladder / Marker
核酸染料
琼脂糖
电泳相关试剂
柱法提取
磁珠法提取
沉淀法提取
提取相关试剂
组织保存
核酸酶
核酸修饰酶
聚合酶
连接酶
蛋白酶
糖苷酶
其他工具酶
circRNA ladder
circRNA 报告基因
FS 系列(片段化酶法)
Rapid 系列(机械打断法)
One-step 系列(转座酶法)
Scale ssDNA 系列(单链DNA建库)
DNA建库模块
RNA建库系列
Small RNA建库系列
RNA建库模块
ABcellar高通量单细胞建库系列
单细胞全转录组扩增试剂盒
单细胞全长cDNA合成酶
ChIP试剂
CUT&Tag试剂
DNA甲基化
ATAC建库
DNA/RNA建库通用接头
DNA建库专用接头
RNA建库专用接头
核酸定量
FFPE DNA质控
DNA磁珠
RNA连接酶
DNA激酶
DNA处理(标记、末端平滑化等)
NGS聚合酶
套装
WB转膜
辅助试剂配件
WB曝光
蛋白MARKER
制胶试剂盒
预制胶
亲和层析填料
CHIP/IP
Pull Down·试剂盒
蛋白定量
胶原酶
酶抑制剂
细胞消化液
样本处理缓冲液
CAR-T细胞治疗靶点
CAR-NK细胞治疗靶点
Fc蛋白
Fc受体蛋白
SARS-CoV-2 antigens
Influenza virus antigens
Monkeypox virus antigens
Coronavirus antigens
激酶
其它酶类
IHC
TSA
TSA辅助试剂
超多重
污染检测清除
抗生素
细胞冻存
报告基因
转染试剂
细胞增殖毒性
细胞凋亡
细胞结构染色
细胞氧化应激
荧光染料
新型标志物合作计划
与YCharOS的合作
与MJFF的合作
合作研发与专家验证
专家讲堂
抗体应用技术资源
分子生物技术资源
研究策略与研究工具
实验设计与论文写作资源
产品文献引用
COA报告查询
资料下载
热门活动
促销活动
文献引用奖励
数据奖励
关于我们
招聘中心
新闻聚焦
联系我们
技术问题F&Q
代理商招募
神经发生是大脑中新神经元形成的过程。在哺乳动物中, 生理性成年神经发生起源于神经干细胞。 在成人大脑中,神经发生主要位于两个特殊的部位,即海马齿状回颗粒下区(SGZ)和邻近侧脑室的脑室下区(SVZ)。SGZ 可以分化为颗粒细胞 , 产生树突、 轴突 , 形成突触联系 , 整合到海马功能的神经环路中, 参与海马的学习记忆等重要的功能活动。SVZ 是一层沿侧脑室侧壁延伸的分裂细胞,神经元可产生于 SVZ 各处,参与嗅觉的记忆与学习。成人神经发生的受阻被认为是造成海马体病变的致病因素,与颞叶癫痫、抑郁症和痴呆等疾病有关。
神经发生依赖三类核心机制的相互作用:转录因子、细胞增殖信号通路和细胞因子及生长因子。转录因子通过调控基因表达,决定神经前体细胞的命运,确保新神经元的正确生成。通过细胞间的信号传递,协调神经前体细胞的增殖和分化,精确控制神经发生的各个阶段。细胞因子和生长因子通过支持或抑制神经前体细胞的生长和存活,维持神经元的生成和功能。这三类机制协同作用,确保神经系统的正常发育与修复。
A19657
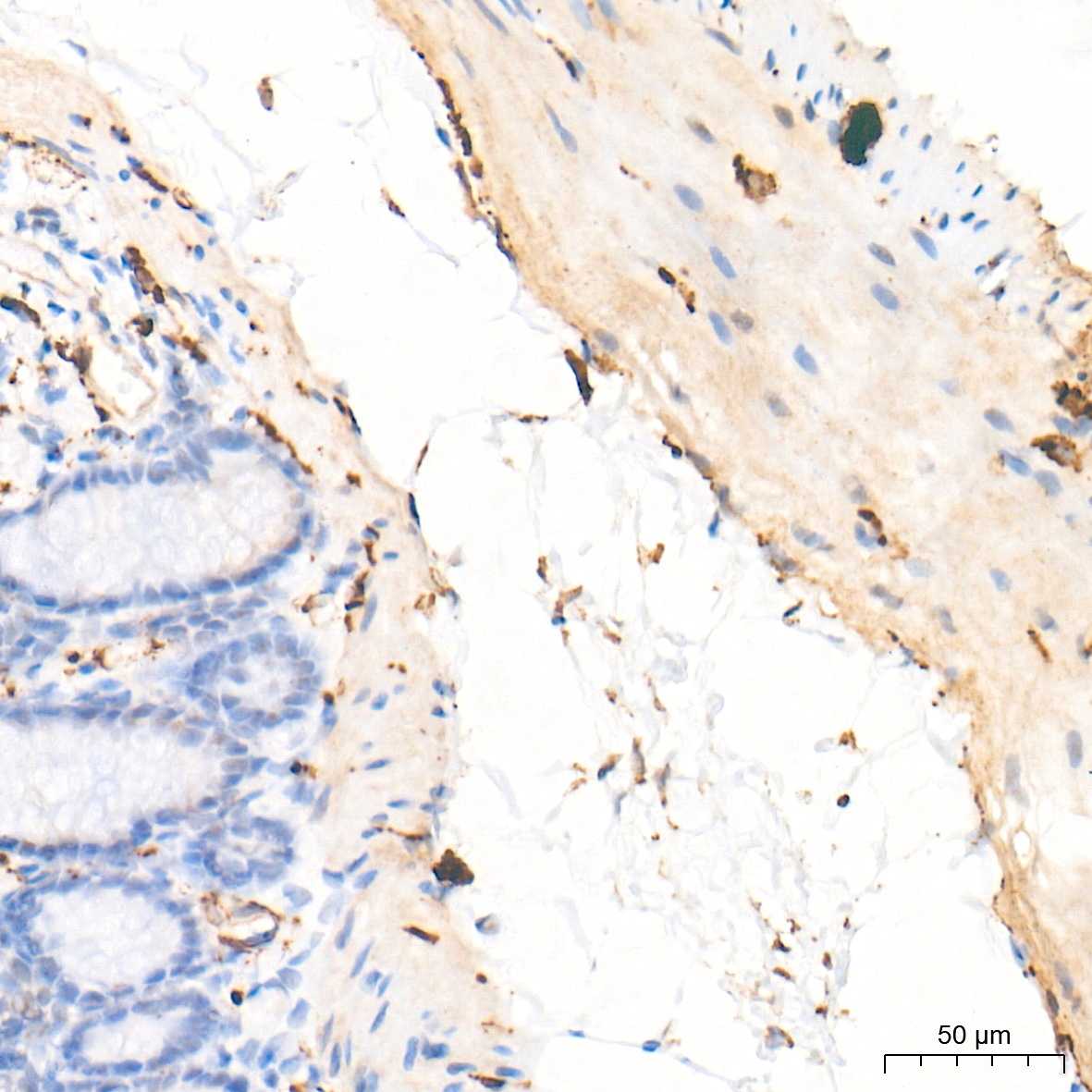
[KO Validated] β-Catenin Rabbit mAb
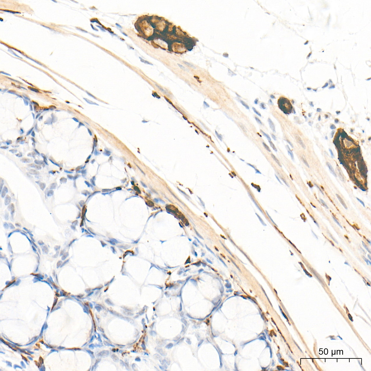
A19710
SOX9 Rabbit mAb
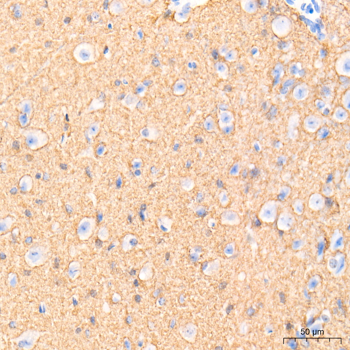
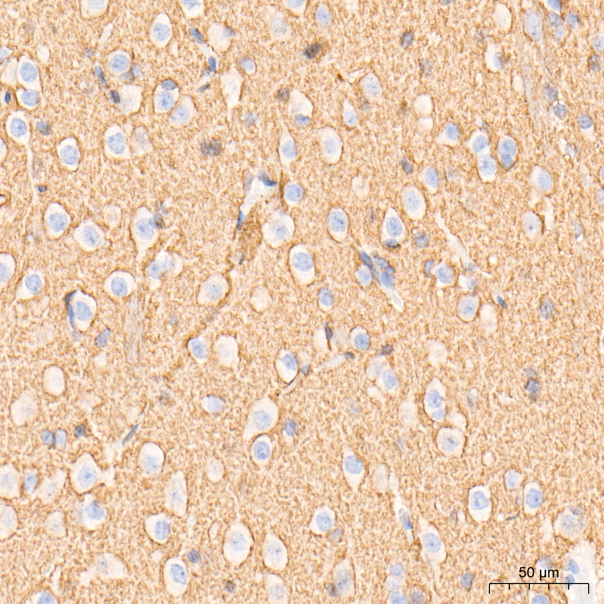
A19055
GAP43 Rabbit mAb
智能推荐
在线客服
售后答疑
科研交流