首页 / 研究领域 / Epigenetics & Nuclear Signaling / Histones
Catalog:A17949
Application:WBIHC-PIF/ICCIPChIPChIP-seqRIPFCFC (intra)ELISA(ELISA)MeDIPNucleotide ArrayDBFACSCoIPFCMCUT&TagmeRIPInhibitionSlot blotmIHCIF-PIF-FIHC-F
Reactivity:Human, Mouse, Rat, Other (Wide Range Predicted)
Synonyms:HIST1H2BC; Ubiquityl-Histone H2B-K120
Type:Rabbit Polyclonal Antibody
Catalog:A18305
Application:WBIHC-PIF/ICCIPChIPChIP-seqRIPFCFC (intra)ELISA(ELISA)MeDIPNucleotide ArrayDBFACSCoIPFCMCUT&TagmeRIPInhibitionSlot blotmIHCIF-PIF-FIHC-F
Reactivity:Human, Mouse, Rat, Other (Wide Range Predicted)
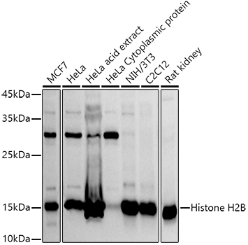
Synonyms:H2B; H2BE; H2BQ; GL105; H2B.1; H2BFQ; H2BGL105; H2B-GL105; HIST2H2BE; Histone H2B
Type:Rabbit Polyclonal Antibody
Catalog:A18091
GeneID:9555
Application:WBIHC-PIF/ICCIPChIPChIP-seqRIPFCFC (intra)ELISA(ELISA)MeDIPNucleotide ArrayDBFACSCoIPFCMCUT&TagmeRIPInhibitionSlot blotmIHCIF-PIF-FIHC-F
Reactivity:Human, Mouse, Rat
Synonyms:H2A.y; H2A/y; H2AFY; mH2A1; H2AF12M; MACROH2A1.1; macroH2A1.2; .1
Type:Rabbit Polyclonal Antibody
Catalog:A17893
GeneID:3008
Application:WBIHC-PIF/ICCIPChIPChIP-seqRIPFCFC (intra)ELISA(ELISA)MeDIPNucleotide ArrayDBFACSCoIPFCMCUT&TagmeRIPInhibitionSlot blotmIHCIF-PIF-FIHC-F
Reactivity:Human, Mouse, Rat
Synonyms:H1E; H1.4; H1F4; RMNS; H1s-4; HIST1H1E; dJ221C16.5; Acetyl-Histone H1.4-K26
Type:Rabbit Polyclonal Antibody
Catalog:A18496
GeneID:3010
Application:WBIHC-PIF/ICCIPChIPChIP-seqRIPFCFC (intra)ELISA(ELISA)MeDIPNucleotide ArrayDBFACSCoIPFCMCUT&TagmeRIPInhibitionSlot blotmIHCIF-PIF-FIHC-F
Reactivity:Human, Mouse, Rat
Synonyms:H1t; H1.6; H1FT; HIST1H1T; dJ221C16.2; Histone H1t
Type:Rabbit Polyclonal Antibody
Catalog:A4784
GeneID:56254
Application:WBIHC-PIF/ICCIPChIPChIP-seqRIPFCFC (intra)ELISA(ELISA)MeDIPNucleotide ArrayDBFACSCoIPFCMCUT&TagmeRIPInhibitionSlot blotmIHCIF-PIF-FIHC-F
Reactivity:Human, Mouse
Synonyms:BRE1; BRE1A; hBRE1; RNF20
Type:Rabbit Monoclonal Antibody
Catalog:A17902
GeneID:3008
Application:WBIHC-PIF/ICCIPChIPChIP-seqRIPFCFC (intra)ELISA(ELISA)MeDIPNucleotide ArrayDBFACSCoIPFCMCUT&TagmeRIPInhibitionSlot blotmIHCIF-PIF-FIHC-F
Reactivity:Human
Synonyms:H1E; H1.4; H1F4; RMNS; H1s-4; HIST1H1E; dJ221C16.5; TriMethyl-Histone H1.4-K26
Type:Rabbit Polyclonal Antibody
Catalog:A0065
Application:WBIHC-PIF/ICCIPChIPChIP-seqRIPFCFC (intra)ELISA(ELISA)MeDIPNucleotide ArrayDBFACSCoIPFCMCUT&TagmeRIPInhibitionSlot blotmIHCIF-PIF-FIHC-F
Reactivity:Human, Mouse, Rat, Other (Wide Range Predicted)
Synonyms:H2B; H2BE; H2BQ; GL105; H2B.1; H2BFQ; H2BGL105; H2B-GL105; HIST2H2BE; Formyl-Histone H2B-K120
Type:Rabbit Monoclonal Antibody
Catalog:RK01575
GeneID:3159
Application:WBIHC-PIF/ICCIPChIPChIP-seqRIPFCFC (intra)ELISA(ELISA)MeDIPNucleotide ArrayDBFACSCoIPFCMCUT&TagmeRIPInhibitionSlot blotmIHCIF-PIF-FIHC-F
Reactivity:Human
Synonyms:
Type:Human
Catalog:RK06736
GeneID:3146
Application:WBIHC-PIF/ICCIPChIPChIP-seqRIPFCFC (intra)ELISA(ELISA)MeDIPNucleotide ArrayDBFACSCoIPFCMCUT&TagmeRIPInhibitionSlot blotmIHCIF-PIF-FIHC-F
Reactivity:Human
Synonyms:
Type:Human
Catalog:RM01963
GeneID:3146
Application:WBIHC-PIF/ICCIPChIPChIP-seqRIPFCFC (intra)ELISA(ELISA)MeDIPNucleotide ArrayDBFACSCoIPFCMCUT&TagmeRIPInhibitionSlot blotmIHCIF-PIF-FIHC-F
Reactivity:4℃
Synonyms:HMG-1; HMG1; HMG3; SBP-1
Type:Human
Catalog:RM01959
GeneID:3146
Application:WBIHC-PIF/ICCIPChIPChIP-seqRIPFCFC (intra)ELISA(ELISA)MeDIPNucleotide ArrayDBFACSCoIPFCMCUT&TagmeRIPInhibitionSlot blotmIHCIF-PIF-FIHC-F
Reactivity:Dry ice
Synonyms:HMG-1; HMG1; HMG3; SBP-1
Type:Human
Catalog:RM01808
GeneID:3146
Application:WBIHC-PIF/ICCIPChIPChIP-seqRIPFCFC (intra)ELISA(ELISA)MeDIPNucleotide ArrayDBFACSCoIPFCMCUT&TagmeRIPInhibitionSlot blotmIHCIF-PIF-FIHC-F
Reactivity:Dry ice
Synonyms:HMG-1; HMG1; HMG3; SBP-1
Type:Human
Catalog:RM01779
GeneID:3146
Application:WBIHC-PIF/ICCIPChIPChIP-seqRIPFCFC (intra)ELISA(ELISA)MeDIPNucleotide ArrayDBFACSCoIPFCMCUT&TagmeRIPInhibitionSlot blotmIHCIF-PIF-FIHC-F
Reactivity:4℃
Synonyms:HMG-1; HMG1; HMG3; SBP-1
Type:Human
Catalog:RP02132
Application:WBIHC-PIF/ICCIPChIPChIP-seqRIPFCFC (intra)ELISA(ELISA)MeDIPNucleotide ArrayDBFACSCoIPFCMCUT&TagmeRIPInhibitionSlot blotmIHCIF-PIF-FIHC-F
Reactivity:E.coli
Synonyms:High Mobility Group Protein B1; High Mobility Group Protein 1; HMG-1; HMGB1; HMG1; BoxA
Type:Human/Mouse/Rat